症例から探す
ACL再建術|女子高校生バレーボール|競技復帰
患者様紹介
バレーボールはジャンプ着地動作が多く、膝の前十字靭帯(ACL)損傷が起こりやすいとされています。
この患者様もスパイク後の着地時に受傷しました。左膝ACL損傷に加えて左膝内側側副靱帯(MCL)損傷も合併していました。
MCL損傷はACL損傷に伴う合併症として多発することが報告されています。MCL損傷に対しては術前に治癒を図り、可動域制限などの後遺症の残存がない状態でACL再建術を行いました。術後1か月で正常歩行を獲得し、3か月まで基礎筋力トレーニングを行いました。4か月からジョギングとサーブ練習を開始し、ポジションがミドルブロッカーであることを考慮し5か月から各種ジャンプ動作を行いました。トスとレシーブ練習は、ペアで行う練習で返球によってはステップ動作やジャンプ動作が生じるため、ジャンプ動作の練習後の6か月から開始し、8か月でブロック練習、10か月でスパイク練習を開始し、最終的に試合に復帰できました。
患者様データ
- 性別:女性
- 年齢:16歳(高校生)
- スポーツ歴:バレーボール(ポジション:ミドルブロッカー)
- 診断名:左膝前十字靭帯損傷
- 術式:鏡視下左膝前十字靭帯再建術(半腱様筋・薄筋腱1ルートOutside-In)
- 現病歴:2016年6月21日バレーボール練習中、スパイク後の着地時に膝が崩れ、大腿骨が内側にずれる感覚を伴い受傷しました。
6月22日都立大整形外科クリニックを受診し、MRIで精査した結果、ACL損傷およびMCL損傷を認め、MCL損傷が治癒し可動域制限の改善後、ACL再建術を行うことが決定しました。9月2日左膝前十字靭帯再建術を施行しました。
手術前と手術後10か月のデータ
理学所見
| 手術前 | 手術後10か月 | ||
| 関節可動域 | 屈曲 | 145° | 150° |
| 伸展 | 0° | 0° | |
| 整形外科的テスト | ADS test | + | – |
| Lachman test | + | – | |
| スコア | Lysholm score | 89点/100点 | 94点/100点 |
| IKDC | 70.1点/100点 | 96.5点/100点 |
その他
| 手術前 | 手術後10か月 | ||
| 筋力検査(BIODEX) | WBI | 70.9 | |
| Quad患健比 | 88.9% | 96.0% | |
| Ham患健比 | 88.9% | 96.1% | |
| 関節不安定性検査(KT-2000) | manual MAX | 3mm | 1mm |
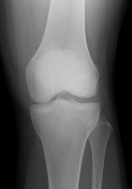
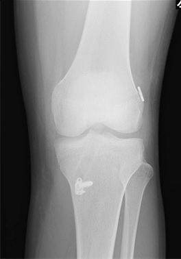
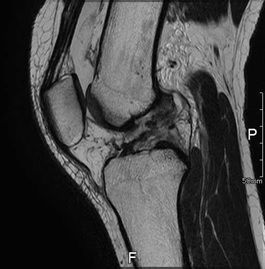
画像所見
レントゲン所見
| 手術前 | 手術後 |
![]() ![]() | ![]() ![]() |
| 骨傷・関節変形なし | 異常なし |
MRI所見
| 手術前 | 手術後 |
![]() ![]() | ![]() ![]() |
| ACLの緊張および連続性は消失している | 再建靱帯の成熟を認める |
手術
手術所見
![]() ![]() | ![]() ![]() | ![]() ![]() |
| ACLは緊張がなく機能していない | 内側半月板は異常なし | 外側半月板は異常なし |
ACL再建
![]() | ||
![]() | ![]() | ![]() |
| 大腿骨孔作成 | グラフト挿入 | 再建靱帯 |
執刀医より
バレーボールは膝関節に大きな負担が掛かり、特に回旋運動の制御が前十字靭帯の大きな役割になっています。競技者にとって前十字靭帯は必須であり、どうしても断裂してしまうと再建手術をしないと半月板損傷や軟骨損傷を引き起こし、その後、膝関節の破壊が進んでしまいます。今回はoutside in single rootでの再建手術を選択しました。術後は再建靭帯がきちんと機能し、半月板損傷や軟骨損傷を引き起こさず競技復帰が可能となりました。これからもバレーボールを頑張ってください。
リハビリテーション
![]() | ![]() |
![]() | ![]() |
| 術創部周囲のモビライゼーション | 足関節の可動域向上のため下腿後面の筋のリリース |
担当理学療法士より
術後は術創部周囲の感覚鈍麻と膝屈曲時の突っ張り感を訴えました。
徒手で術創部周囲の皮膚、軟部組織のモビライゼーションを行い、伸張性の改善を認めました。それに伴い、突っ張り感の訴えは消失しました。バレーボールでは、レシーブ時やアタック後の着地時に膝が深く曲がりしゃがみ込む場面があります。その際、足関節の可動域制限があると膝関節へのストレスが増大し、再受傷の危険性も高くなります。
足関節へのアプローチも同時に行い、可動域の向上を図りしゃがみ込み動作を可能にしました。
アスレティックリハビリテーション
- リバースランジ:殿部の筋力強化のためのトレーニングです。膝への剪断力を抑えられるため、手術した膝へのストレスを抑えて行うことができます。
- シングルレッグルーマニアンデッドリフト:片足での股関節の使い方を意識させたトレーニングです。
- スプリットジャンプ:競技復帰に向けたジャンプトレーニングです。これも股関節の動きを意識して行いまます。
担当トレーナーより
殿部の筋肉が弱いためスクワット・ランジの動作の際、膝がつま先に対して内側に入る動作となっていました。
このような動作により、受傷機転のジャンプ着地時に膝へ捻れのストレスが発生し前十字靭帯損傷を引き起こしたと考えました。
その動作改善のため上記などのトレーニングを実施しました。
バレーボール復帰状況
お問い合わせ
同じような怪我や症状で悩まれている方や診察を希望される方は下記までお問い合わせください。
インフォメーションセンター:0267₋88-7850
メール:toritsudai@ar-ex.jp





















