case
症例から探す
膝
半月板切除術|女性バドミントン選手|競技継続
競技継続のために半月板切除術を行った女性バドミントン選手
バドミントンは急速かつ多彩な動きが必要とされるスポーツで、バドミントン選手における障害発生頻度は膝関節が多いと言われています。練習中に膝関節の痛みが出現し、外側半月板損傷との診断を受け、今後もバドミントンを続けるために手術を行い、競技復帰を果たした患者様について紹介します。

患者様データ
- 性別:女性
- 年齢:42歳
- スポーツ歴:バドミントン20年
- 診断名:右膝関節外側半月板損傷
- 術式:鏡視下半月板切除術
- 現病歴:2015年10月バドミントンの練習中に痛みが出現し、他院でMRI撮影し外側半月板損傷と診断されました。その後もバドミントンは続けていましたがリハビリ等は行っておらず、同年12月バドミントンの試合がきっかけで疼痛が増悪しました。
2016年1月、明大前整形外科クリニックを受診し、MRIから半月板損傷と診断され、半月板由来の伸展制限を生じており、今後バドミントンを継続するには手術が必要と判断し、手術決定となりました。
理学所見
| 術前 | スポーツ復帰時(術後6ヶ月) | ||
| 膝関節可動域(単位:°) | 屈曲 | 140 | 140 |
| 伸展 | -5 | 0 | |
| 徒手筋力検査 | 股関節伸展 | 4+ | 5 |
| 整形外科テスト | Catching sensation | + | - |
| Mcmurray ER | + | - |
| 術前 | 術後8ヶ月 | ||
| 筋力検査(BIODEX) | WBI(患側/健側) | 91.1/121.3 | - |
| Quad患健比(%) | 83 | 80 | |
| Ham患健比(%) | 101 | 95 | |
| 臨床スコア(点) | Lysholm score | 64/100 | 95/100 |
| IKDC score | 47/100 | 85.1/100 |
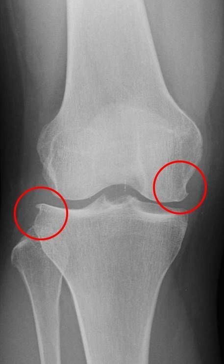
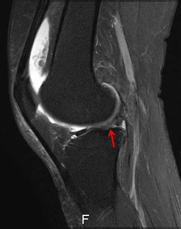
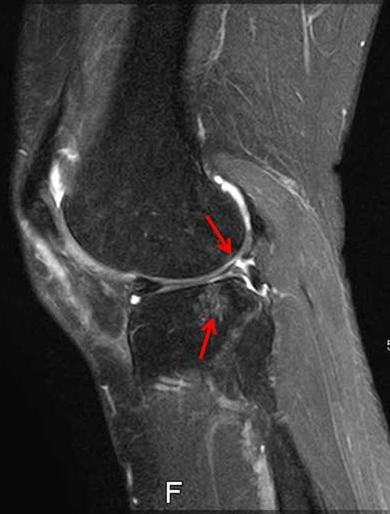
画像所見
| レントゲン | MRI | |
![]() ![]() | ![]() ![]() | ![]() ![]() |
| 骨傷なし、骨棘あり Kellgren-Lawrence分類gradeⅡ | 外側半月板のフラップ損傷あり 骨損傷あり | |
術後画像
| レントゲン | MRI | |
![]() ![]() | ![]() ![]() | ![]() ![]() |
| 術前と著変なし | 異常なし | |
手術所見
![]() | ![]() | ![]() |
![]() ![]() | ![]() | ![]() |
| 内側半月板問題なし | 外側半月板フラップ損傷 | 大腿骨側の軟骨損傷部 |
![]() ![]() | ![]() ![]() | ![]() ![]() |
| 翻転していた外側半月板損傷部の整復 | 外側半月板損傷部の切除 | 外側半月板損傷部の切除後 |
執刀医師より
外側半月板と軟骨損傷の治療はなかなか難しいですね。術前に半月板断裂部が嵌頓してロッキングしている症状なのか軟骨損傷によるものなのか完全に把握するのは難しい時もあります。
今回は軟骨損傷により剥がれた軟骨片や半月板の断裂によるフラップ部分の引っ掛かりとそれにより膝の伸びが完全に出ないのが一番の問題と捉えて関節鏡視下手術を施行しました。術後膝が伸びないのが後方の筋腱拘縮の問題もありリハビリテーションも効果がとてもありました。
お陰様で患者さんはバドミントンに完全に復帰し大会でも優秀な成績を得られたようで何よりです。
リハビリテーション
![]() | ![]() |
| 術創部を含めた膝蓋骨遠位の滑走性および膝後方の柔軟性改善をはかり、早期の最終伸展獲得を目指しました。 | 股関節伸展筋群の低下があったため、Hipliftで体幹筋と股関節伸展筋の獲得を目指しました。 |
担当柔道整復師より

術前に完全伸展ができなかったために伸展最終域での拘縮がありました。まずは屈曲伸展ともに可動域を改善させ、筋力を上げていきました。
アスレティックリハビリテーション
バドミントンで踏み込む動作をするときに、股関節屈曲を伴わずに動作を行なっていました。このことが膝関節の負担に繋がっていたので、ランジなどでは股関節屈曲を充分に意識してトレーニングを行いました。

どちらにシャトルが飛んでくるかわからないので、こちらの出した動きに反応してランジを行い、相手に合わせた動きにも安定して動けるようにしました。

























