ACL再建術|女子ラクロス選手|競技復帰

患者様紹介

前十字靭帯損傷を受傷し、手術を受け競技復帰した女子ラクロス選手

ラクロスの練習中に膝を捻って前十字靭帯損傷を受傷しました。
シーズン中であったためテーピングで膝関節を固定して出場を継続しましたが、大会後も「力が入りづらい」、「切り返し動作が恐い」、「膝が抜けそう」、「全力でプレー出来ない」という症状が残存したため、主治医の判断でラクロスへの完全復帰を目的として手術を決定しました。
術後は1ヶ月で正常歩行獲得、1〜2ヶ月で基礎筋力強化、2〜3ヶ月で各種スクワット動作、3〜4ヶ月で各種ジャンプ動作、5ヶ月以降でアジリティトレーニング等を行いました。 下肢の筋力測定は術後3ヶ月、6ヶ月、8ヶ月で行いました。筋力測定の結果はランニングや競技復帰の許可を判断するための一つの情報になります。
競技復帰に関しては関節可動域や筋力、痛みを考慮するのに加え、俊敏性やラクロス動作時の身体の使い方なども考慮し、再受傷しないための予防トレーニングも行いました。 結果として手術前のような力が入りづらい、膝が抜けるなどの症状は消失しラクロスへの完全復帰が可能となりました。

患者様データ

  • 性別:女性
  • 年齢:22歳
  • スポーツ歴:ラクロス【7年間:大学(関東大学女子ラクロスリーグ)、現在社会人チーム(全国大会レベル)】
  • 診断名:左前十字靭帯損傷・前十字靭帯再建術術後
  • 術式:半腱様筋・薄筋腱 2ルート Outside-In
  • 現病歴:2015年8月上旬にラクロスの練習中に左脚を滑らせ左膝を伸ばしきった状態で捻って転倒した。当院綿貫医師を受診し、MRI検査の結果、左膝前十字靭帯損傷と診断をうける。ラクロスのリーグ戦途中だったため残りの試合はテーピング着用し試合出場を続けたが、膝崩れの症状は数回みとめたためリーグ戦終了を待って前十字靭帯再建術を施行した。

手術前の状態と手術後

理学所見

   術前   スポーツ復帰時:術後9ヶ月
可動域屈曲145155
伸展00
整形外科テストADS test+
Lachman test+
スコア Lysholm score 84点95点

その他

  術前    術後9ヵ月  
筋力検査WBI62.3
Quad患側比62.4%73.2%
Ham患側比95.0%95.0%
関節不安定検査
KT-2000
Manual Max4mm1mm

画像所見

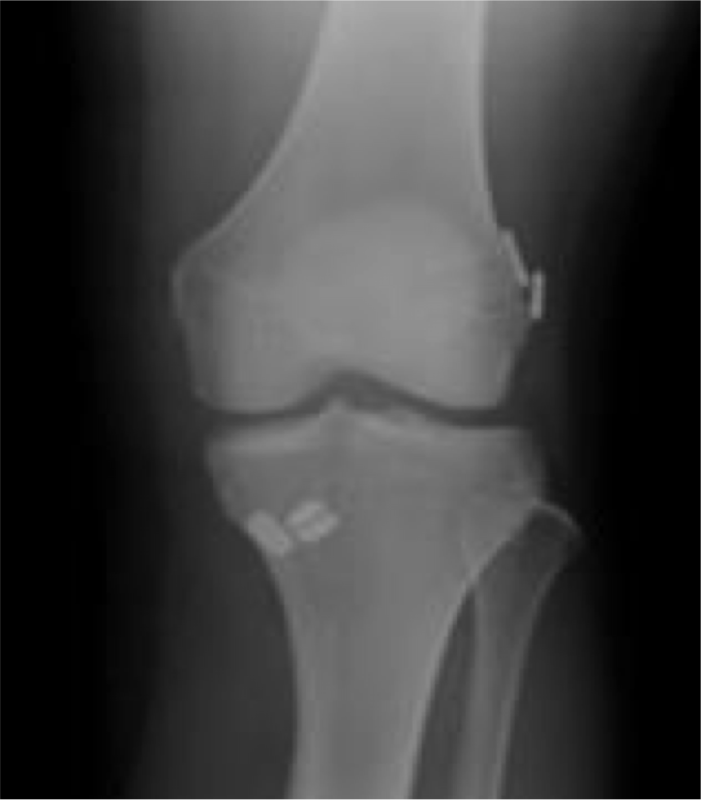
レントゲン

術前術後
骨傷や変OA変化等なし異常所見なし

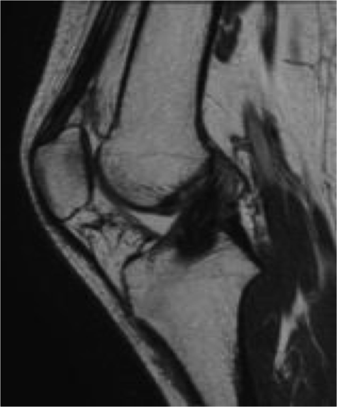
MRI

術前術後
ACLの連続性がなく、途絶している。再建靭帯の成熟を認める。

手術

手術内容

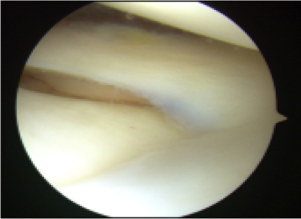
ACLは大腿骨付着でわずかに
残存するも、緊張は認めず
機能していない
外側半月板は問題なし内側半月板は問題なし

ACL再建

大腿骨孔作成グラフト挿入再建靭帯

執刀医より

ラクロスの競技特性から前後左右へのダッシュや切り返し動作が多いため、回旋方向へも十分に制動可能となるよう、再建靭帯を2本使用し手術を行いました。

リハビリテーション

担当理学療法士より

術前の筋力測定から大腿四頭筋の筋力低下を認めました。術後早期はその影響もあり、膝関節の伸展不全がみられたため積極的に改善を図りました。機能改善に伴い、荷重練習を重点的におこない正常な歩行が可能となりました。

担当トレーナーより

ラクロスはダッシュからのストップ、方向転換やステップワークが必要となります。再受傷の防止を第一に考え、正確な動作が獲得できるまで反復した動作練習を行いました。

スポーツ復帰状況

category

カテゴリー

先進的治療
WEB予約WEB予約
LINE公式LINE公式