医療情報・コラム
テニス肘の治し方
テニス肘とは!?

テニスプレーヤーの3~5割の人が経験したことがあるテニス肘とは、
テニス愛好家に多い症状であることから、通称「テニス肘(テニスエルボー)」と呼ばれ、
正式には「上腕骨外側上顆炎(じょうわんこつがいそくじょうかえん)」という肘の病気です。
手首に負担がかかる動作を行った際、肘の外側から伸筋腱に沿って(肘から手首の背側部分)痛みが起こる症状のことを指します。
テニス肘は「テニス」という言葉が入っていますが、テニスをしている人だけの病気ではありません。
・ゴルフをしている人
・重いものを運ぶ仕事をしている人
・主婦など家事をされてる方
実際は、スポーツ以外の仕事や日常の動作が原因で発症する場合も、少なくありません。
症状が進行すると、コップが持つことでさえ強い痛みを伴うことがあり、日常生活にも大きな支障をきたします。
テニス肘の原因
繰り返す手関節伸筋群のオーバーユース
テニスプレーヤーに発症が多いのは打球する際、ラケットでボールを打つ時の衝撃(インパクト)が手首から手関節伸筋群に強い収縮力が起き、手関節伸筋群の付着部である肘外側に繰り返し加わり続ける事で、付着部に炎症が起き右肘外側に痛みが出ます。
何度も何度も「ラケットを振る」という同じ動作を何度も繰り返し行うことが、付着部に炎症を起こします。特にバックハンドストロークの方が使うので、強い痛みを感じます。
週3回以上のテニスを行う事で、テニス肘の発症頻度が上がるという報告があり、発症の多くは「腕の使い過ぎ(オーバーユース)」がほとんどです。
特に経験の浅い初・中級者の場合は、ラケットの正しい面にボールを当てることができないために発症するケースや、ラケットの材質やガットの硬さ、衝撃の吸収性などが関係してるケースも考えられます。

似たような競技ではテニス以外にも、バドミントン、ゴルフ、卓球などの手を酷使するスポーツを行う方にも多く見られるため、テニス肘は「スポーツ障害(同じスポーツを繰り返し行い、骨や筋肉を使いすぎが原因で起こるケガ)」の一つと考えられています。
年齢などによる、組織変性など
40代以降で発症する人がぐーんと増えると言われており、年齢も要因のひとつです。
一般的に、人間の身体は、年齢を重ねるにつれて、ゴムのようなしなやかさが失われてきます。腕の筋肉も例外ではありません。
筋肉が硬くなると、同じ負担がかかっていても、微細な損傷が起きやすくなります。手首を使う頻度や、強さは変わっていないのに、年齢が高くなるほど痛みが起きやすいのは、これらも原因の一つです。
またテニス肘は性別に関係なく発症しますが、女性は筋力が弱いことや、家事など普段から腕を使う動作が多いため、特に40~60代の主婦の方に発症が多く見られます。

テニス肘の症状
一般的には、手首を反らす動作など手首に負担がかかる動作を行うと、痛みが出やすいです。
- ドアノブを捻る,開く動作で痛い
- スーパーの荷物など物を持ち上げる動作で痛い
- フライパンを使うなど、家事動作が痛い
- 雑巾を絞る動作が痛い
- テニスをしていて痛い
- コップを持つ動作が痛い
- マウス操作やタイピング動作が痛い
- ゴルフをしていて痛い
- ペットボトルの蓋を開ける動作が痛い
症状は個人差があり、急に強い痛みが出たり、だんだんと痛みが強くなることもあります。
上記は日頃から良く使う動作で、一度発症すると負担軽減させることが難しくなかなか治りにくいです。
症状が進行してしまうと安静にしていても肘にジンジンとした痛みが続く事もあります。
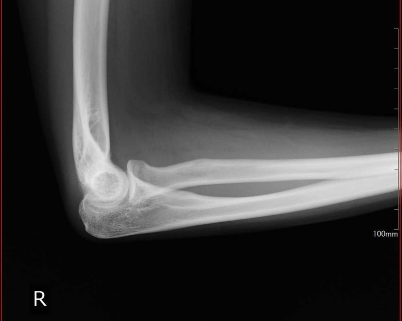
テニス肘の診断・検査方法
テニス肘(上腕骨外側上顆炎)の診断は、お話を聞いて現状の症状やレントゲン検査・痛みの反応を調べる検査によって、ほとんどが分かります。
しかし、テニス肘の病態の進行具合や組織損傷の程度によって、治療方法や治療期間は大きく異なります。
そのため状況によっては、US(超音波検査)やMRI検査を行う必要もあります。
レントゲン検査
テニス肘は腱の炎症のため、レントゲン検査を行っても通常、骨には異常が見られることはありません。
しかし、変形など他の疾患との鑑別や稀な腫瘍などを区別するためにも必須です。
また、テニス肘も症状が進行して慢性化しているケースでは、腱にカルシウムを主とした沈着物が溜まることがあり、レントゲン検査時で判別することが可能です。

疼痛誘発検査
「Thomsenテスト(トムセンテスト)」
肘を伸ばし、手首を上に反らした状態でキープします。相手が下方向に力を加えた際に、耐えれるか?肘の外側に痛みが出るか?

「chairテスト(チェアテスト)」
持ち上げる様に、椅子を手であげた時に肘の外側に痛みが出るか?

「中指伸展テスト」
肘を伸ばし、手首と指をを上に反らしパーの状態でキープたし時、中指を下方向へ押された時、中指を上に持ち上げるよう耐えれるか?肘の外側に痛みが出るか?

US(超音波検査)
検査査よる痛みが無く、被ばく等の身体に与える影響も無いため、小さなお子様や妊婦の方、ご高齢の方まで何度でも安心して検査をすることが出来ます。
レントゲン画像ではうつらない筋肉や腱、靭帯の損傷、内出血や軟骨、軟部腫瘍等の抽出に優れ、組織の炎症反応も確認出来ます。
簡便で安全に出来る反面、周辺を含めた全体像の把握や関節内や深層部の精査には不向きです。

MRI検査
Magnetic Resonance Imaging(磁気共鳴画像法)の略称で、強力な磁力を使用して、身体の断面図を撮影する方法です。
MRIはレントゲン・CTとは違い、放射線などを使用しないため、被ばくの心配はありません。


時間や費用などが掛かりますが、肘関節の周辺を含めた全体像の把握や腱の損傷範囲や程度・関節内の異常まで精査することが可能です。
テニス肘の治療方法
保存療法
テニス肘の治療は、以下のような薬や理学療法で痛みを抑える治療が基本。安静を心がけ、症状が落ち着くまでは、テニスやそのほかの発症のきっかけとなったスポーツは一時お休みしましょう。
- リハビリテーション
ストレッチや筋トレ、負担がかかった使い方などを理学療法士と一緒に行うことは、ステロイド注射のような即効性はありませんが、中・長期的に見るとリハビリによる治療が最も効果が高いです。痛みが起きたきっかけが無い方は、右肘外側部への負担が原因の一つなので、負担がかからない様にリハビリを行います。
必要に応じて、テーピングなどを行い患部の負担軽減を目指します。

また、電気療法や超音波治療などの物理療法も組み合わせながら実施します。
肘だけの問題でなく、全身的な問題(姿勢不良、股関節の硬さ(柔軟性低下)、肩・胸椎の硬さ(柔軟性低下)、腕で振っているetc)
全身的なコンディショニングを、自費の施設(パーソナルコンディショニングセンター)で行うこともあります。
詳細→パーソナルコンディショニングセンター
- 薬物療法
炎症がある場合は、非ステロイド性消炎鎮痛剤(NSAIDs=ロキソニンなど)や湿布をすることで炎症を抑え症状が改善します。ただし、飲み薬は長期間使用すると胃があれるなどの副作用が出る場合があるので、注意が必要です。

- 装具療法
肘より少し遠くの伸筋腱(短僥側手根伸筋腱)の筋腹を圧迫し、指や手関節の伸筋腱の滑走を制限します。
サポーターを実施することで、伸筋腱の付着部である外側上顆付着部にかかる負担を減らすとされてます。
そのため、骨の出っ張り(上腕骨外側上顆)より指2本分ぐらい手関節側で、前腕の外側の筋肉にパットが当たるように巻くのが効果的です。

- 注射
物が持てない、仕事に支障が出るほどの強い痛みがある場合、ステロイド注射を行う場合があります。
痛みのある肘の部分に直接治療薬を注射すると、そのまま1~2ヵ月程度は症状が改善することが多いですが、痛みが再燃する場合も少なくありません。
注射で一時的に症状を改善させるだけで、その間に根本原因をリハビリで並行して改善させ、トータル的な症状改善を目指します。
また、注射を繰り返し行うことは、組織を脆くさせ、長期的には症状を悪化させる場合もあります。
当院では、出来る限り少量で、ピンポイントで効果が出る様に、超音波ガイド下で1mm単位で調整して注射を行います。
特殊治療について
上記の様な、エビデンスに基づい従来の一般的な治療を受けても症状が改善しない患者さんも、ごく一部ですが存在します。
これまでは一部の人々のためのものであった最新の先端医療である「体外衝撃波治療」や「PRP治療の再生医療」は、メジャーリーグや日本トップレベルのスポーツ界においては今や通常の選択肢の一つとなっています。
これまでは一部の人々のためのものであった最新の先端医療を、私たちは一般の患者さんたちにも広く提供していきたいと考えています。
保険適応外の治療も存在します。
体外衝撃波治療
皮膚の上(体外)から非連続性の圧力波である衝撃波を照射する治療方法です。
スポーツ選手を中心に整形外科領域の腱付着部障害や骨性疾患において使用されている機器です。
手術と違い、傷跡が残らない、切らない治療のため副作用がほとんどありません。実施中は衝撃を加えるため、痛みも伴います。許容できる様に強度は調整します。

【効果】
「自由神経終末の変性」
慢性的な疼痛は、痛みを感じる自由神経終末という神経の増加によって痛みに対して敏感になってます。
その神経を体外衝撃波によって変性させ、即時的に痛みを軽減させます。
「組織再生因子の増加」
体外衝撃波による刺激は、血管再生を促進させたり、組織再生因子を増加し、損傷した組織の治癒能力を促します。
PRP治療
PRPとは多血小板血漿(Platelet Rich Plasma)のことで、自分の血液を採取し、専用の機械を使用して濃縮した血小板のみを抽出します。
血小板には組織修復を促進する能力が含まれており、患部に注入することで治癒を促す治療法です。自身の血を使用するため安全性もあり、「再生医療等の安全性の確保等に関する法律」に基づいて実施します。

整形外科領域、特にスポーツ障害で起きる、腱付着部などは血流が少ないため組織の修復能力に乏しいです。
PRP治療によって損傷した組織は、生体内でバランスを保ったまま修復過程を促進させることが期待されています。
手術療法
手術は誰しもが行いたくないものですが、
上記のようにさまざまな治療を行っても痛みが取りきれない場合、患者の希望に応じて手術療法を検討する場合があります。

手術方法は、
関節鏡視下で変性した組織を郭清にしたり、付着部の部分切除など病態に応じて手術内容を検討します。
手術内容に応じて、術後3〜6ヶ月が目安です。
テニス肘の予防
前腕伸筋群のストレッチ(右手の場合)
1. 右肘を伸ばして、左手で右手を持ちます
2. 左手で右手関節を、手のひら側に曲げます
3. 手首を曲げた状態で、指も曲げる
【目的】前腕の伸筋群のストレッチ
【回数・頻度】30秒×3セット
【ポイント】手首の後に指を曲げることで、より伸筋群を伸ばすことが出来ます。
前腕の外側がしっかりと伸びていることを感じましょう。

前腕伸筋群の筋トレ(右手の場合)
1. 右肘を伸ばし手のひらを下にして、ペットボトルなど重りを持ちます。
2. 右手首を反らすように、重りを持ち上げます。
3. 右手首をゆっくりブレーキをかける様に、下げていきます。
【目的】前腕の伸筋群の筋トレ(エキセントリック収縮)
【回数・頻度】10回×3セット(1回5秒以上かけて下げましょう。)
【ポイント】上げることが目的ではなく、ゆっくりと下げながら筋肉を使うことで筋トレを行います。
ガタッ、ガタッと下げるのではなく、出来るだけスムーズに下げれるように目指しましょう。


