Column
医療情報・コラム
腰・股関節
症例紹介 尾骨部挫傷に対する治療
治療前の状態
年齢:10代 性別:男性
診断名:尾骨
現病歴:12月に腹筋をやったら尾骨周辺に痛みが出現した。3ヶ月経つが痛みが変わらない状態。
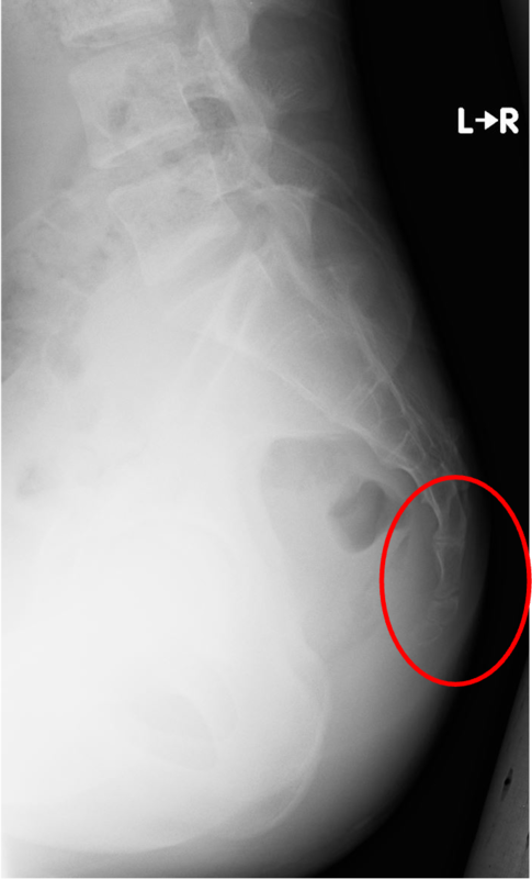
画像所見
レントゲン画像

赤く囲んだ部分に痛みが出現しています。
特に骨傷などは認めません。
MRI画像

赤く囲んだ部分に痛みが出現している。
尾骨部周囲が白く映り、炎症が起きている。
治療内容

写真のように尾骨に対して垂直に照射しました。
衝撃波の強さは患者が耐えられる程度で2500発照射しました。
治療経過
この症例は疼痛出現から1ヶ月経っているが疼痛消失しないため来院されました。
初めは薬で経過観察していたが、疼痛消失しないためMRIを撮影し、尾骨の骨挫傷を認めたため体外衝撃波を開始した。
痛みの程度は10段階で痛みを表し、10が1番痛みが強いとすると体外衝撃波施行前は7.4でした。体外衝撃波施行後は1.4まで軽減しました。
翌週再度来院していただいた際の痛みは0.6。施行後は0になりました。
日常生活で問題ないため体外衝撃波治療は終了し、診察のみで経過観察となりました。