Column
医療情報・コラム
スポーツ・コンディショニング
スポーツをしている子どもの腰痛「腰椎分離症」
腰椎分離症の原因とは?
腰椎は5つの椎体から構成され、その椎体の後方は椎弓で連結しています。


『腰椎分離症』とは腰を反らす・捻る動作を繰り返すことによって椎弓の関節突起間に起こる疲労骨折です。腰を反る、捻る動作が多いサッカーやバレーボール、野球などスポーツを行っている若者に多くみられます。
腰椎分離症の症状は?
・腰を反ると痛い
・腰を捻ると痛い
・走っている時に痛い、長時間座っていると痛いなど
例)
サッカー…シュート動作で痛い
野球…投球動作で痛い、バッティングで痛い
バレーボール…スパイクを打つ時に痛みが出る
画像検査・診断について
単純レントゲン検査で椎弓・骨年齢の確認、
MRIでは腰椎分離症早期診断を、CT検査(他院依頼)では病期の判定を目的とします。
病期について
腰椎分離症の病期は、①初期、②進行期、③終末期に分類されます。

①一部に骨折線が見られる。
②分離部がやや開大しているが、周囲に骨硬化は見られない。
③完全に分離し、骨硬化が見られる。
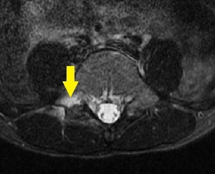
例)
- 単純レントゲン画像 側面像

- MRI画像



- CT画像


L5左は腰椎分離症終末期
治療について
『腰椎分離症』は分離部の骨癒合の見込みがあるケースと骨癒合が見込めないケースがあります。CT、MRI検査で病期を特定し骨癒合を目指して治療をしていきます。
治療方法はコルセットで固定して、腰を反ったり、捻ったりする動作を制限します。安静期間を設けてスポーツ活動(運動)を休止します。
病期によって治療期間(安静期間)が異なります。
治療期間
| ①初期 | ②進行期 | ③終末期 | |
| 癒合にかかる期間(安静期間) | ~3ヶ月 | ~6ヶ月 | ~12ヶ月 |
*経時的に検査で癒合の確認を行います。検査結果次第では治療期間(安静期間)が伸びることがあります。
*終末期の癒合する割合は低いです。
癒合を見込めるケース
方法:硬性コルセット、スポーツ活動休止
医師の許可が出てからスポーツ再開となります。
癒合が見込めないケース
方法:軟性コルセット固定、スポーツ活動継続 (症状に応じて一時休止あり)
※いずれにおいても状態に応じた運動療法を行います。