Column
医療情報・コラム
膝・足・足首
症例紹介 第5中足骨骨折に対しての治療
治療前の状態
年齢:20代 性別:男性
診断名:第5中足骨骨折
現病歴:2020/10/13石の上に乗り、滑り受傷。他院受診し、第5中足骨骨折と診断。
1ヶ月半以上経過するが、骨折部がズレ、骨癒合が望めない状態。
第5中足骨骨折の治療
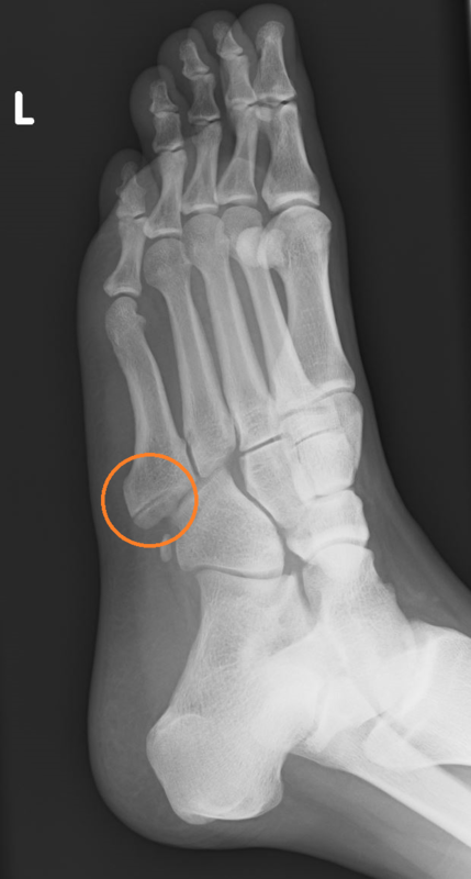
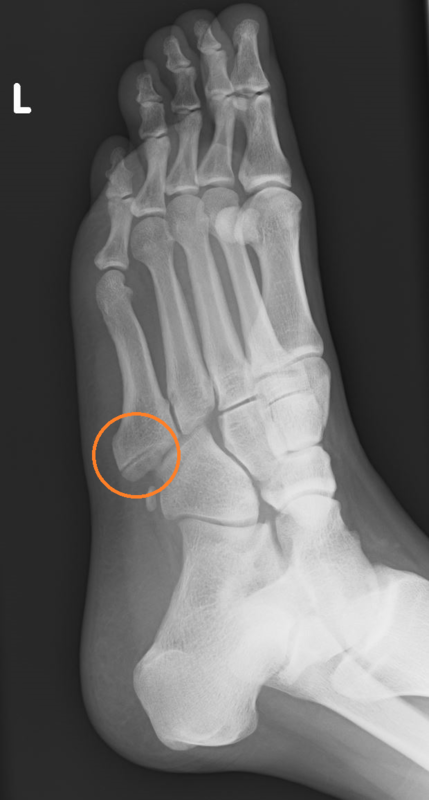
画像検査(レントゲン)

赤く囲んだ部分が骨折している部分です。
画像検査(MRI)

赤く囲んだ部分が骨折しているところです。骨折している周囲が画像では白く映り、炎症が起きている。
治療内容

上の写真のようにレントゲン画像で骨折している部位に向けて衝撃波を照射しました。
治療経過
この症例は骨折から1か月半以上経過しているが骨折部が癒合しないため来院された。
今回は骨癒合を促進させる目的で体外衝撃波を行いました。
3回体外衝撃波施行し、1か月前より骨折部が癒合してきました。

➡

体外衝撃波は3回で終了し、骨折部に負担がかからないようにインソール(中敷き)を作成しました。
また、足首の柔軟性の低下がみられたためリハビリ開始し、現在加療中です。