医療情報・コラム
側弯症の種類と運動療法、ストレッチについて
背骨が曲がってくる、側弯症について

「撮った写真を確認したら姿勢が傾いていた」
「学校検診で背骨が曲がっていると言われた」
そのような方は、もしかしたら側弯症かもしれません。
このページでは、側弯症とその種類、治療法、運動療法を簡単に紹介します。
側弯症とは?
背骨のことを脊柱といいます。
多くの人は脊柱は横から見るとS字に曲がっていて、後ろから見るとまっすぐになっています。
脊柱を正面から見て左右に曲がっている状態を脊柱側弯症といいます。
側弯症は大まかに2種類にわけられます。

機能性側弯
何らかの原因により一時的に生じた側弯です。
原因を取り除けば戻ることが多いのが特徴です。
腰椎椎間板ヘルニアの痛みにより引き起こされることもあります。
構築性側弯
脊柱のねじれ(回旋)を伴った側弯です。
骨の変形があるので簡単にまっすぐに戻らなくなった状態です。
特別な原因もなく発症するもの、生まれつき脊柱が曲がっているもの、神経や筋肉の病気が原因で発症するものなどがあります。


特発性側弯症とは?
構築性側弯症のうち原因不明のものを特発性側弯症といいいます。
小児期に多く見られ、側弯症全体の約8割を占め、発症年齢によって分類されます。
乳児期:0~3歳以下
男児に多く自然と治る場合も多い
学童期:4~9歳以下
進行する場合が多い
思春期:10歳以上
圧倒的に女子に多い
特発性側弯症の発生率は2~3%で、体の発育や成長が止まるまで進行し続けることが多いです。
特に成長が急な時期に側弯の進行が強くみられ、男児なら声変り、女児なら初潮を迎え身長の伸びが止まると側弯の進行も抑えられる傾向にあります。
参照: 日本側弯症学会 側弯症TOWN
特発性側弯症の原因は分かっていません
前述したように、特発性側弯症は未だに原因不明とされています。
生活習慣との関連を調査した研究によると、 通学鞄の種類、鞄の重さ、楽器の演奏、勉強時間、寝る姿勢、睡眠時間、ベッドか布団かなどは側弯症と有意な関連はありませんでした。
関連があったのは女の子、痩せてる子、両親のいずれかに側弯症があることです。
但し、低 BMI が続いた結果として側弯症になったのか、側弯症だから低 BMI なのかは分かっていません。
最新の研究ではやせ型(BM18.5未満)は側弯症の発症に影響するが重症化には影響しないこと、すべての栄養素・食品摂取量と側弯症の間には明確な関係がないことが分かっています。
このため特発性側弯症の発症原因はまだ分かってはいないのです。
大人の側弯症
主に女性の小児期に多く見られる側弯症ですが、大人になってから背骨が曲がってしまうこともあります。
圧迫骨折によって骨が潰れてしまったり、加齢によって脊柱を構成する骨が変形した変形性脊椎症には、骨粗鬆症や脊椎不安定症を伴うものも多いです。
また、小児期の側弯症が進行することもありますので、習慣や姿勢の影響もあるかもしれません。

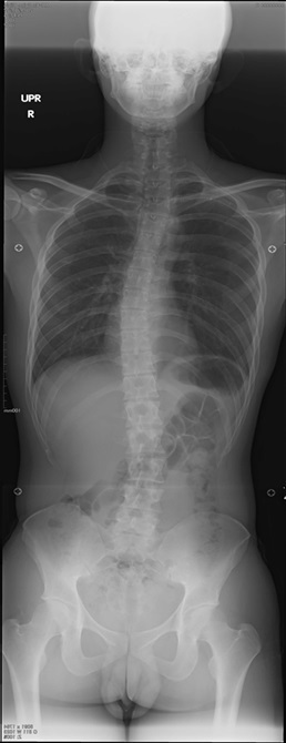
Cobb角(こぶかく)
背骨を背面から見たときの背骨のカーブの大きさを表す角度です。
側弯症の程度を表すのに用いられます。
単純レントゲン画像で背骨のカーブの一番上の骨と一番下の骨を線で結び計測します。

背骨はどちらに曲がるのか?
人によって曲がる場所や方向は異なります。
曲がっているところとカーブの方向で呼び方や運動療法のメニューが変わります。

側弯症の検査
単純X線検査
側弯症の検査は、全脊椎の単純レントゲン画像を撮影します。
アレックス脊椎クリニックでは脊椎全体を見れるレントゲン装置を導入しています。
一度の撮影で立った姿勢の背骨の様子がわかります。
また、必要があれば医師の指示のもと骨密度検査やCT画像検査なども行います。

姿勢を自宅でチェックする方法
前屈する
ゆっくり深く曲げられるまでおじぎをしていきます。曲げたところで背中の左右の高さを比べます。
※左右差がある場合は、一度医療機関への受診をお勧めします。

真っすぐに立つ
背中から見て左右の肩の高さ、左右の肩甲骨の高さ、ウエストラインの高さを比べます。
※左右差がある場合は、一度医療機関への受診をお勧めします。

これらは学校でも行われているチェック方法です。ご自宅でも行ってみましょう。
側弯症の治療は?
医師が側弯の角度(Cobb角)と年齢、骨成熟度などを総合的に判断していきます。
専門医による定期的な経過観察、装具療法、手術療法があり、アレックス脊椎クリニックでは運動療法を処方することが多いです。
①装具療法
Cobb角20°以上になると装具療法が適応になります。
側弯の矯正よりも進行予防や進行速度を緩めることを目的としています。
アレックス脊椎クリニックではシェノー装具を処方しています。
②手術療法
Cobb角が概ね40°以上になると手術も検討されます。
手術は曲がった背骨を矯正して元に戻らないように固定します。
アレックス脊椎クリニックでは行っておりませんので、必要な場合は専門病院に紹介します。
③リハビリテーション(運動療法)
脊柱が曲がっていると背中やお尻回りの筋肉が伸ばされる所と縮むところとができて痛みを生じる場合があります。
運動療法によって脊柱の柔軟性を維持し、筋力を強化することで疼痛軽減を図れます。
また抗重力筋を強化することで良い姿勢が意識でき機能障害の予防が期待できます。
側弯症のリハビリテーション
日頃の姿勢チェック

側弯症の運動療法紹介の前に、まず日頃の姿勢がどのような姿勢なのかを気にしてみましょう。
人の体は積み木のように積み重ねた背骨の上に重たい頭(約5~7kg)が乗っています。
良い姿勢で背骨の上にまっすぐ頭が乗っている状態であればバランスが取れており筋肉も使いやすい状態です。
しかし少しでも姿勢が崩れてしまうと重たい頭を支える筋肉が過剰に働きます。
さらに、頭を支える筋肉が弱くなると頭の重さに負けて背骨の曲がりが強くなってしまう可能性があります。
そのため、常に背骨を伸ばすように心がけましょう。

側弯症の運動療法
側弯症はカーブの向きや捻じれの方向が人によって違います。
このためアレックス脊椎クリニックでは単純レントゲン撮影、筋力、関節可動域、姿勢の検査などを行い、医師の指示のもとに患者様専用の運動療法プログラムを作り指導していきます。
全ての患者様が同じ運動療法を行うことはありませんが、アレックス脊椎クリニックが行っている運動療法の一部を紹介します。
背骨を伸ばす運動
※下記の運動は一例です。痛みが出る場合は中止しましょう。

背骨を伸ばしながら筋力強化
※下記の運動は一例です。痛みが出る場合は中止しましょう。

まとめ

上で説明したように、側弯症にはさまざまな種類があります。
日頃の習慣や姿勢の影響がかかわることで姿勢が崩れ背骨の曲がりが強くなってしまう可能性があります。
姿勢の曲がりが気になっている方は医療機関への受診をお勧めします。