疾患から探す
股関節唇損傷
股関節の痛み、特に「足の付け根(鼠径部)」に違和感や痛みを感じることはありませんか?それは「股関節唇(こかんせつしん)」という組織が傷ついているサインかもしれません。かつては原因不明とされていた股関節の痛みも、近年の医学の進歩により、この股関節唇の損傷が原因であることが分かってきました。
股関節唇(こかんせつしん)とは?
股関節は、骨盤のくぼみ(寛骨臼:かんこつきゅう)に太ももの骨(大腿骨:だいたいこつ)の頭がはまり込むような「球関節」の構造をしています。股関節唇は、その骨盤側の縁をぐるりと取り巻いている、ゴムのような弾力のある柔らかい組織(線維軟骨)です。
- 役割1:関節の安定化(パッキンの役割)
大腿骨頭を包み込むことで関節の適合性を高め、関節内の陰圧を保つ「パッキン」のように機能し、股関節を安定させます。 - 役割2:衝撃の分散(クッションの役割)
荷重がかかった際に関節軟骨への圧力を分散させ、衝撃を和らげるクッションの役割を果たしています。また、関節液を閉じ込めることで軟骨への栄養供給を助けています。

症状
股関節唇に損傷が起きると、股関節を深く曲げたり、捻ったりする動作で鋭い痛みが生じます。
- 動作時の痛みと「引っかかり感」: あぐらをかく、深くしゃがみ込む、靴下を履くといった動作で「ズキッ」とした痛みを感じたり、関節の中で何かが引っかかるような感覚(キャッチング)を伴うことがあります。
- 「C-サイン」: 多くの患者様が、親指と人差し指で足の付け根を挟むようにして「ここが痛い」と訴えます。これを「C-サイン」と呼び、股関節唇損傷の特徴的な痛みの示し方です。
- 日常生活での支障:
- 車の乗り降りや階段の昇り降りでの痛み
- 長時間座り続けた後の立ち上がり時の不快感
- 歩き始めに感じる股関節の前側の痛み
- スポーツでの痛み: サッカー、バレエ、野球、テニスなど、股関節を大きく動かしたり急激に捻ったりする競技で、パフォーマンスが低下する原因となります。
原因
股関節唇が損傷する最大の原因は、**股関節インピンジメント(FAI:骨盤と太ももの骨の衝突)**です。骨の形状にわずかな個体差(形態異常)があることで、日常動作の中で骨同士が衝突し、その間に挟まれた股関節唇が徐々に損傷していきます。
FAIには主に3つのタイプ(混合型を含む)があります。
- CAM(カム)型: 太ももの骨(大腿骨頭)の根元が膨らんでおり、関節を曲げた時にその膨らみが骨盤の縁に突き当たるタイプ。
- PINCER(ピンサー)型: 骨盤側の受け皿(寛骨臼)が深く、大腿骨頭を覆いすぎているため、縁に当たりやすいタイプ。
- 混合型: 上記のどちらの要素も持っているタイプで、実際にはこの混合型が多く見られます。
その他、加齢による変性や、スポーツによる繰り返しの過度な負荷も原因となります。

診断
股関節唇損傷は一般的なレントゲン検査だけでは見逃されることも多いため、総合的な診断が必要です。
1. 身体診察(徒手検査)
医師が患者様の足を特定の方向に動かし(内旋・内転など)、痛みが出るかを確認するインピンジメントテストを行います。
2. レントゲン検査
骨の形状をミリ単位で計測し、CAM型やPINCER型の特徴がないか、また軟骨の隙間が保たれているかを確認します。


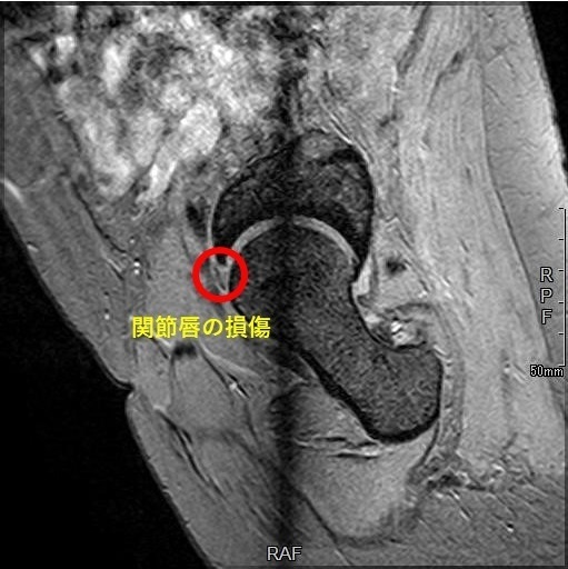
3. MRI検査

通常のレントゲンでは写らない「股関節唇」の断裂や剥離を確認するための最も重要な検査です。高精細なMRIを用いることで、損傷の範囲や程度を詳細に把握します。

治療
患者様の年齢、活動性、損傷の程度に合わせて治療方針を決定します。
保存療法(手術をしない治療)
多くの場合、まずは保存療法から開始します。
- 活動修正と安静: 痛みを引き起こす動作(深い屈曲や捻り)を一時的に避けます。
- 薬物療法: 炎症を抑え、痛みを緩和するために以下の薬剤を使用します。
- 内服薬: 非ステロイド性消炎鎮痛剤(NSAIDs)を処方し、関節内の炎症を鎮めます。
- 外用薬: 湿布(貼り薬)や塗り薬を併用し、局所の炎症を抑えます。
- 関節内注射: 痛みが強い場合には、ヒアルロン酸やステロイド剤の注射を行い、直接関節内の炎症や潤滑を改善させることがあります。
- リハビリテーション:
- 股関節周囲の筋肉の柔軟性を高めるストレッチ。
- 体幹を安定させ、股関節への負担を減らす筋力トレーニング。
- 骨同士が衝突しにくい「正しい体の使い方」の習得。
手術療法
3〜6ヶ月程度の保存療法を行っても改善が見られない場合や、スポーツの第一線への復帰を目指す場合には、股関節鏡(内視鏡)手術を検討します。
- 手術内容: 1cm程度の小さな穴から内視鏡を挿入し、損傷した股関節唇を特殊な糸で縫い合わせたり(縫合)、インピンジメントの原因となっている骨の出っ張りを削って形を整えたりします。
- メリット: 傷跡が小さく、筋肉へのダメージも最小限に抑えられるため、早期の社会復帰・スポーツ復帰が可能です。
足の付け根の痛みは「ただの筋肉痛」や「年のせい」と放置されがちですが、早期に適切な対処をすることで、将来的な変形性股関節症への進行を防ぐことにもつながります。股関節に違和感がある方は、我慢せずにお早めにご相談ください。