前十字靭帯損傷を受傷し、手術を受け競技復帰した女子ラクロス選手
- 2016/09/21
チアリーディングはスピード感や美しさを競う競技で、高度な身体能力と体力が必要とされています。
もともとスポーツを応援することから始まったため、観客を引き付ける掛け声、特殊なジャンプ、
組体操的運動であるスタンツ、体操競技の床運動のようにバク転やバク宙をともなうタンブリングなど、
チアリーディング特有の技術を使って競技が行われます。
笑顔や元気さだけでなく、技を正確に行なうための体幹や下肢の筋力、柔軟性なども求められています。
タンブリングの着地時に受傷し、膝前十字靭帯(以下、ACL)再建術を受けたチアリーダーの
競技復帰までの過程をご紹介します。

性別:女性
年齢:18歳(高校生)
診断名:右膝関節前十字靭帯損傷
術式:半腱様筋・薄筋腱1ルート Outside-In
現病歴:2015年6月、 チアリーディングのタンブリングで伸身のバック転着地の際に、
膝を過伸展し受傷しました。他院でACL損傷と診断をうけ、保存療法を行なってきました。
その後、治療方針や手術の必要性についてセカンドオピニオンを希望し当院林医師を受診しました。
林医師に、チアリーディングのパフォーマンスを考えると手術が必要と説明を受け、
同年11月に MRI撮影し、そのMRIでACL断裂を確認し、
今後の活動量を考慮し手術が決定し、2016年1月にACL再建術を受けました。
スポーツ歴:中学‥バスケットボール(3年)、高校‥チアリーディング(3年)
| 術前 | スポーツ復帰時(術後9ヶ月) | ||
| 膝関節可動域(単位:°) | 屈曲 | 150 | 150 |
| 伸展 | -5 | 0 | |
| 整形外科テスト | ADS test | + | - |
| Lachman test | + | - |
| 術前 | 術後(1年2ヶ月) | ||
| 筋力検査(BIODEX) | WBI | 87 | - |
| Quad患健比(%) | 72 | 107 | |
| Ham患健比(%) | 119 | 99 | |
| 関節不安定性検査(KT-2000) | manual MAX | 5mm | 2mm |
| 整形外科テスト(点) | Lysholm score | 95/100 | 90/100 |
| IKDC score | 81/100 | 79.3/100 |
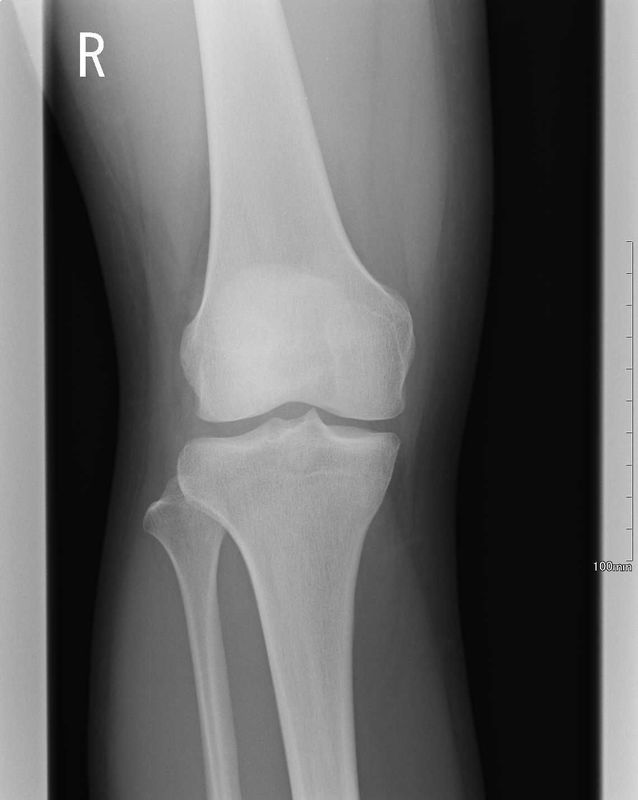
術前画像
| レントゲン | MRI |
![]() |
![]() |
| 骨傷なし、関節変形なし | ACLの連続性や緊張がみられない |
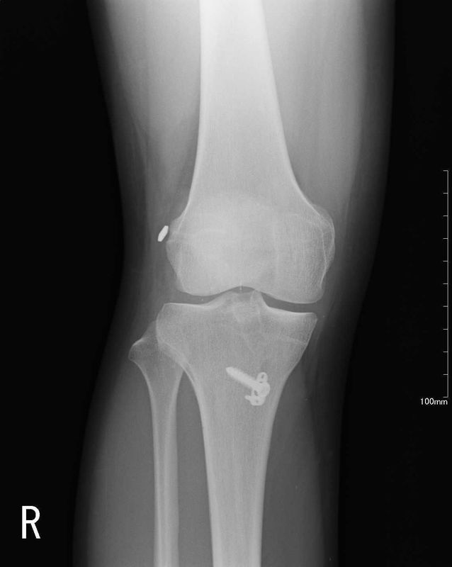
術後画像
| レントゲン | MRI |
![]() |
![]() |
| 異常なし | 再建靭帯の成熟をみとめる |
![]() |
![]() |
![]() |
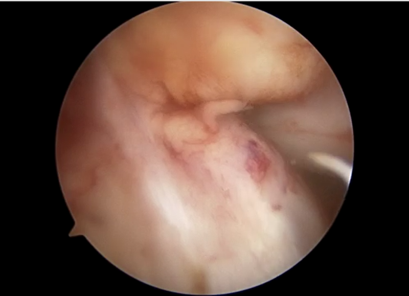
| 前十字靭帯損傷部 | 大腿骨側骨孔作成 | 脛骨骨孔作成 |
![]() |
![]() |
![]() |
| 外側半月板問題なし | 内側半月板問題なし | 再建靭帯 |

チアリーダーという競技はかなりハードだという事をまず認識する必要があります。
ほぼ体操競技に近いと考えて再建手術を行いました。
選手は身体の柔軟性(laxity)が強くなく過伸展もしません。
outside in手術方法と言う正確に骨孔をあける術式を行いました。
競技種目特性も考えて今回採取腱は患側hamstringsを採用しています。
術後はジャンプ動作等するためにリハビリテーションを
担当柔道整復師が高いレベルで施行して下さり、完全復帰に至りました。
|
|
|
| 下腿外旋アライメントをみとめたため、術後4週より下腿内旋筋の収縮を積極的に取り入れました。 | 膝屈曲時にknee in傾向であったため、両脚・片脚でのスクワット動作でアライメント修正をおこないました。 |
担当柔道整復師より
靭帯が緩まないように術直後はしっかり固定を行い、骨孔の拡大に気をつけてリハビリを行いました。
ロンダートからバック転などの動きにつなげる際には体を回旋してジャンプを行うため、
ジャンプ動作も回転して着地の訓練を行いました。
担当柔道整復師より

動作時に膝が内側に入る癖があったので、ジャンプ動作では特に注意して行いました。
またタンブリングではロンダートからバック転やバック宙を行うので
体をひねってのジャンプの練習も重点的に行いました。