ACL再建術後に復帰したバレエダンサー
![]() |
バレエは美しい姿勢を保ちながら、片脚での回転動作や柔らかい着地動作が求められます。 膝前十字靭帯(ACL)断裂後にACL再建術をうけ、リハビリテーションに取り組んだ結果、無事にバレエに復帰した患者さまについてご紹介します。 |
患者紹介
6年前に反復横跳びで右膝前十字靭帯(ACL)を損傷し、自転車での転倒をきっかけに膝崩れの症状が頻発するようになり、膝に不安を抱えながらバレエを行っていましたが、充分なパフォーマンスが発揮できないためACL再建術を決意し行った方です。術後1週から積極的に膝が伸展できるようアプローチを行い、関節可動域が回復してから積極的にスクワットなどで筋力強化を図っていきました。採取した筋腱の影響からバレエでのパッセ動作の再獲得に難渋しましたが、術後10ヵ月でバレエに復帰ができました。
患者データ
性別:女性
年齢:34歳
術式:半腱様筋・薄筋腱 1ルート Outside-In
現病歴:2010年頃に反復横跳びを行った際に右膝を捻り他院で右膝ACL損傷と診断をうけた。その後2016年1月に仕事中に自転車運転中に路面が凍っていて転倒し右膝を強打した。都立大整形外科クリニック林医師を受診し、MRI検査の結果、右膝ACL損傷と診断をうける。ヨガで胡坐をとった際の痛みと腫れが出現していた。運動時の炎症と膝の不安定感がなくならないことからACL再建術を施行した。
スポーツ歴:クラシックバレエ・ヨガ
手術前と手術後9ヵ月のデータ
理学所見
| 手術前 | 手術後9ヵ月 | ||
| 関節可動域 | 屈曲 | 145 | 150 |
| 伸展 | 5 | 5 | |
| 整形外科的テスト | ADS test | + | - |
| Lachman test | + | - | |
| Score | Lysholm score | 85 | 100 |
| IKDC | 54.0 | 95.4 |
その他
| 患側 | 術側 | ||
| 筋力検査(BIODEX) | WBI | 1.18 | |
| Quad患健比 | 123% | 93% | |
| Ham患健比 | 113% | 104% | |
| 関節安定性検査(KT-2000) | Manual Max | 4mm | 2mm |
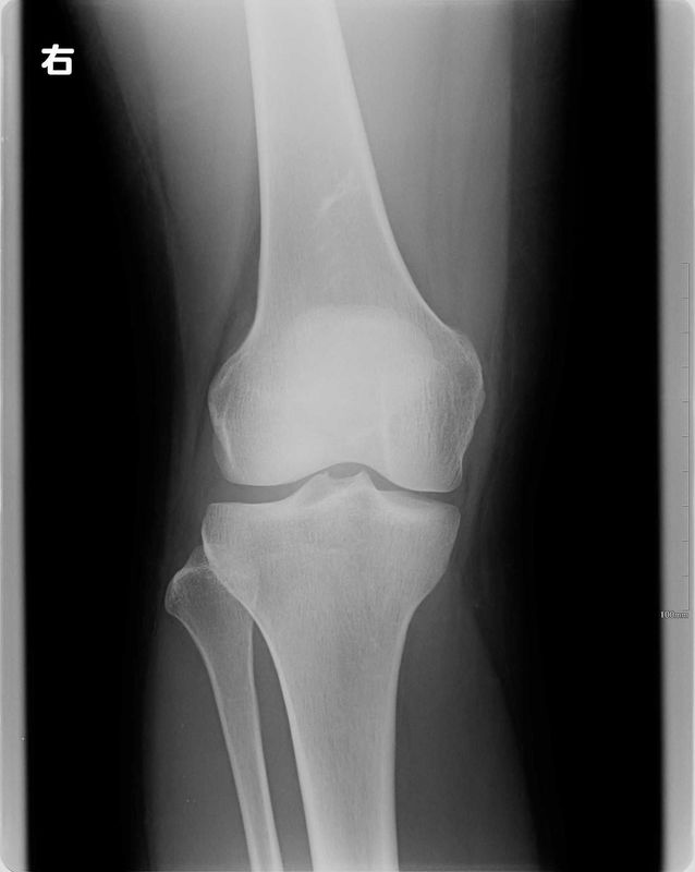
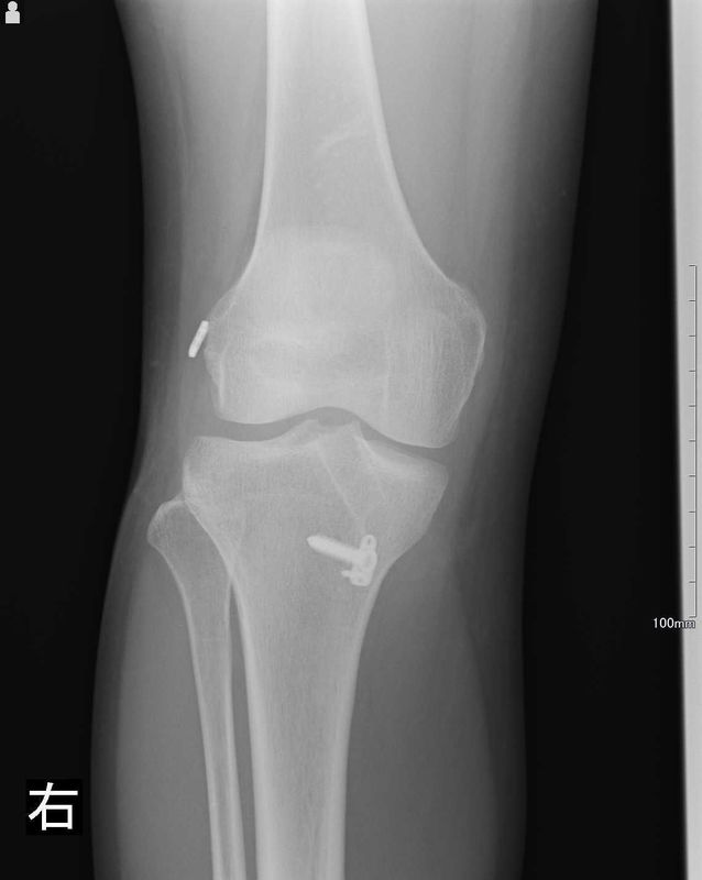
画像所見
レントゲン所見
| 手術前 | 手術後 |
![]() |
![]() |
| 骨傷・変形はない | 異常なし |
MRI所見
| 手術前 | 手術後 |
![]() |
![]() |
| ACLの緊張および連続性は消失している | 再建靭帯の成熟をみとめる |
手術
手術所見
|
ACLは緊張がなく機能していない |
外側半月板は問題なし |
内側半月板は問題なし |
ACL再建
| 大腿骨孔作成 | グラフト挿入 | 再建靭帯 |
執刀医より
|
バレエの競技特性である美しさの獲得だけでなく、膝が完全伸展しないことは再受傷やパフォーマンス低下を招きます。 よって手術は膝が完全に伸びた状態でも前十字靭帯が前後・回旋に対して不安定性を生じないよう作り上げる必要があります。 この方は比較的経過が良好でした。バレエでの益々のご活躍を願っています。 |
リハビリテーション
![]() |
![]() |
|
術創部も含め膝蓋骨遠位の滑走性の改善をはかり、早期の最終伸展獲得を目指しました |
下腿外旋アライメントをみとめたため、術後4週より下腿内旋筋の収縮を積極的に取り入れました |
担当理学療法士より
|
極力早期より膝の完全伸展獲得を目指しました。 バレエはTurn-out姿勢をとることから足部よりも相対的に膝が内側に入りやすくなります。 股関節外旋可動域・外旋筋力改善を積極的に図りました。 |
アスレティックリハビリテーション
![]() |
![]() |
|
術後4ヵ月頃よりランジ動作や横方向へのリーチ運動を積極的に行いました |
バレエのパッセの動作を模した内側ハムストリングスのトレーニングを重点的に行いました |
担当トレーナーより
|
下腿外旋があり移植腱として使用した半腱様筋の収縮が入りにく状態でしたが、 パッセの姿勢を保つためにも内側ハムストリングスの収縮は必須であり、同部の収縮を促すトレーニングを重点的に行いました。 荷重下トレーニングは再受傷予防のため片脚でのスクワットやリーチ運動を反復して行いました。 |








