ゴルフのインパクト時の右肘内側部の痛みの治療
治療前の状態
56歳 男性
診断名:右上腕骨内側上顆炎
スポーツ:ゴルフ(レクリエーションレベル)
主訴:ゴルフ時に右肘の内側が痛い
現病歴:2016年6月ゴルフ中、インパクト時に痛みが出現した。
8月AR-Ex尾山台整形外科を受診。上記診断をされ、ステロイド注射やリハビリを施行したが、症状の著明な改善はみられなかった。
2018年1月29日体外衝撃波治療のため都立大整形外科クリニックを受診した。
右上腕骨内側上顆炎の治療
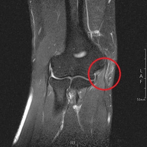
画像検査(MRI):右肘内側の屈筋群起始部の高信号(白い)


体外衝撃波治療を実施(計4回)
患部にマーキング
マーキング部に照射
体外衝撃波治療の副作用
副作用は少ないですが、以下のことが起こる可能性があります。- 治療中・治療後の疼痛
- 皮下出血、発赤、湿疹
- 腫脹・感覚異常
治療効果
痛みの変化
|
症状(主訴) |
圧痛(NRS) 右肘内側 |
動作時痛(NRS) 3kgの重りでスイング |
|
|---|---|---|---|
| 1月29日 | 日常生活でも痛い | 9 | 8 |
| 2月5日 | 前回の6割位になった | 7 | 5 |
| 3月5日 | 日常生活での痛み減った | 3 | 3 |
| 3月26日 | ゴルフをしても大丈夫だった | 3 | 1 |
MRI画像の変化
| 治療前 1月25日 |
治療後 3月9日 |
|---|---|
![]() |
![]() |
![]() |
![]() |
体外衝撃波治療によって、1年半以上続いていた痛みは著明に低下し、ゴルフも問題なく行うことができるようになった。その後も症状は再発していない。
治療費用
132,000円
1回あたり33,000円(税込):予約料11,000円(税込)+治療費22,000円(税込)
4回体外衝撃波治療を行ったので33,000円(税込)の4回分の治療費用がかかります。

