鏡視下肩関節唇形成術後にソフトテニスに復帰された患者様

肩関節唇損傷は野球・テニス・水泳など、肩をよく使うスポーツに発症しやすい疾患です。損傷の原因として、肩関節の酷使による慢性的なもの、一瞬の強い力がかかることにより起こる外傷があります。関節唇とは関節窩の周りを取り囲む線維性の軟骨組織であり、関節唇が関節窩の凹みを深くすることで関節を安定化させています。そのため損傷により安定性が失われることとなり、肩関節に痛みや脱臼・ひっかかり感を感じるようになります。
今回は、ソフトテニスでのボール返球時(外転外旋位)に肩関節唇を受傷し、肩関節唇形成術を受けられた方の競技復帰までの過程を紹介します。
患者紹介
2016年4月にソフトテニス中に右肩関節を外転外旋位でボールを打ち返した際に脱臼感があり、自己整復をした上で、佐久平整形外科クリニックを受診されました。右肩関節唇損傷の疑いと診断し約3ヶ月間リハビリテーションを行いました。しかし、症状改善がなく造影MRI検査を施行し、結果より前方関節唇損傷と骨性Bankart病変と診断されました。ソフトテニスでのサーブ・スマッシュ時の疼痛・脱臼感などの症状が改善されず、今後も競技を続けるために手術を決められました。
術後6週間は前方の肩関節唇を縫合しているため肩関節の外旋角度が出すぎないように注意しながらリハビリテーションを行いました。術前より肩甲骨を固定する力・体幹を支える力が弱かったため、ご自宅とクリニックとでトレーニングを続けました。その結果、術前よりも強い体を作ることができ、術後5ヶ月頃より部分練習再開、術後8ヶ月頃より競技復帰されました。
患者データ
性別:男性  年齢:33
スポーツ歴:ソフトテニス17年
術式:鏡視下肩関節唇形成術+遊離体摘出術
現病歴:ソフトテニス中に右肩関節を外転外旋位でボールを打ち返した歳に脱臼感が出現しました。佐久平整形外科クリニック受診し右肩関節唇損傷の疑いで3ヶ月間リハビリテーションを行いましたが、症状改善なく造影MRI検査施行し、結果より前方関節唇損傷・骨性Bankart病変と診断されました。疼痛・脱臼感などの症状改善がみられず競技継続を希望されたため、鏡視下肩関節唇形成術を施行し、その術中で遊離体を発見したため摘出術も施行しました。
理学所見
| 術前 | 術後6ヶ月 | ||
| 可動域 | 屈曲 | 180 | 180 | 
| 外転位外旋 | 90 | 90 | |
| C7TD | 16 | 10 | |
| 整形外科テスト | Crunk | + | − | 
| Silcus sign | + | − | |
| 術前 | 術後6ヶ月 | ||
| 筋力(健患比:% ) | 屈曲 | 101 | 107 | 
| *マイクロFET | 外転 | 114 | 116 | 
| 棘上筋 | 96 | 114 | |
| 下垂位内旋 | 119 | 153 | |
| 外旋 | 95 | 112 | |
| 外転位内旋 | 108 | 99 | |
| 外旋 | 108 | 97 | 
画像所見
| 術前:前方関節唇損傷あり | 術後6ヶ月 | 
![]()  | 
			![]()  | 
		
| 術前:骨性Bankart病変 | 術後約6ヶ月 | 
| 
			 
  | 
			
			 
  | 
		
手術所見
| 遊離体 | 遊離体摘出時 | 
![]()  | 
			![]()  | 
		
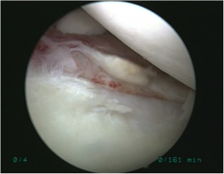
| 前方関節唇損傷 | 損傷部位を縫合中 | 縫合終了 | 
![]()  | 
			![]()  | 
			![]()  | 
		
執刀医師より
![]()  | 
			
			 オーバーヘッドスポーツの手術適応はとても考えます。  | 
		
リハビリテーション
![]()  | 
			
			 サーブなどの頭の上でラケットを操作する場面も多いスポーツですので、  | 
		
![]()  | 
			
			 肩関節不安定症は腱板の筋力のみならず  | 
		
担当理学療法士より
![]()  | 
			
			 術後はテニスのフォアハンド、スマッシュ、サーブで不安定性が出  | 
		
アスレティックリハビリテーション
![]()  | 
			
			   アリゲーター   この運動では、オーバーヘッドのから脇を締める状態まで体を支える必要があります。  | 
		
![]()  | 
			
			 壁打ち 返球・サーブ等ではインパクト時に合わせた筋発揮が求められます。  | 
		
担当トレーナーより
![]()  | 
			
			 術前より、肩甲骨周囲筋・体幹固定力の弱さがありました。 患者様のご理解があり、ご自宅でもしっかりトレーニングを継続して行えたため  | 
		















