スポーツ別症例紹介(新体操)
新体操

症例紹介
年齢:21歳性別:女性
主訴:スポーツ動作での疼痛(膝を伸ばす/片足立ち)
現病歴:
2025年7月中旬ごろからスポーツで膝の曲げ伸ばしや片足立ちの姿勢が多く、膝痛出現。
2025年8月8日現場サポート時にリハビリ実施し、疼痛なく片足立ち可能になるも、
全国大会を控えているため万全を期すため、日本体育大学クリニック・アレックス東京受診。
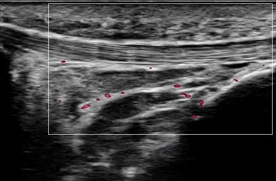
画像所見
レントゲン:明らかな損傷なし超音波:膝蓋腱・膝蓋下脂肪体 炎症反応+

治療内容
膝蓋腱と脂肪体に炎症反応を認めた。膝を伸ばす可動域が非常に柔らかいため、伸びすぎないよう自身でコントロールできるように膝周囲の筋力強化を実施した。
即時的に痛みのでる動作は解消されたため、セルフケアを指導。
痛みはなくなったが、詰まり感の訴えは残り、本人希望で日本体育大学クリニック・アレックス東京受診。
炎症部位へ微量のステロイド注射実施し、主訴はなくなった。
最後に
今回は新体操の選手の紹介をしました。競技の特性上、下半身(腰・股関節・膝関節・足関節)を痛めることが多いです。
美しいしなやかな演技のために、一般的な関節可動域よりさらに広い可動域が求められます。
柔軟性があることは重要ですが、逆にその大きな可動域を自身の筋力でコントロールできないと痛みにつながることもあります。
また大会等があると、それに間に合わせることを一番に選手は望みます。
引き続きクリニックと連携をとり、選手の早期復帰に向けてサポートをしていきます。