症例から探す
素足で踵がつけない足底の痛みが1ヶ月続いた方への体外衝撃波治療症例①
足の裏の激痛でお悩みではありませんか?
朝起きて最初の一歩を踏み出したとき、足の裏に鋭い痛みが走る。歩くたびに踵に体重をかけるのが怖くて、つい足先だけで歩いてしまう。「素足では踵をつけることすらできない」そんな状態が続いていませんか?
買い物や散歩など、日常生活の何気ない動作が辛くなり、好きな趣味も楽しめなくなってしまう。そんな足底の痛みに悩まされている方は少なくありません。
今回は、趣味のサーフィンを楽しんでいた方が、保存的治療(リハビリや薬物療法)を1ヶ月続けても改善しなかった足底腱膜炎に対して、体外衝撃波治療によって素足での生活に復帰された症例をご紹介します。
治療症例のご紹介
症状の始まり
30代の患者様は、特にきっかけとなる怪我はないものの、右足の裏に痛みを感じるようになりました。普段からサンダルで歩くことが多く、また趣味のサーフィンで素足で過ごす時間が長いことが、足への負担となった可能性がありました。
症状の悪化と当院受診
最初は「そのうち良くなるだろう」と様子を見ていましたが、痛みは改善せず、むしろ日に日に辛くなっていきました。特に歩いて体重をかけたときの強い痛みがあり、素足では踵を地面につけることができないほどでした。テーピングやインソール(足底板)で保護すればなんとか歩けるものの、素足では全く踵がつけられない状態が約1週間続いたため、当院を受診されました。
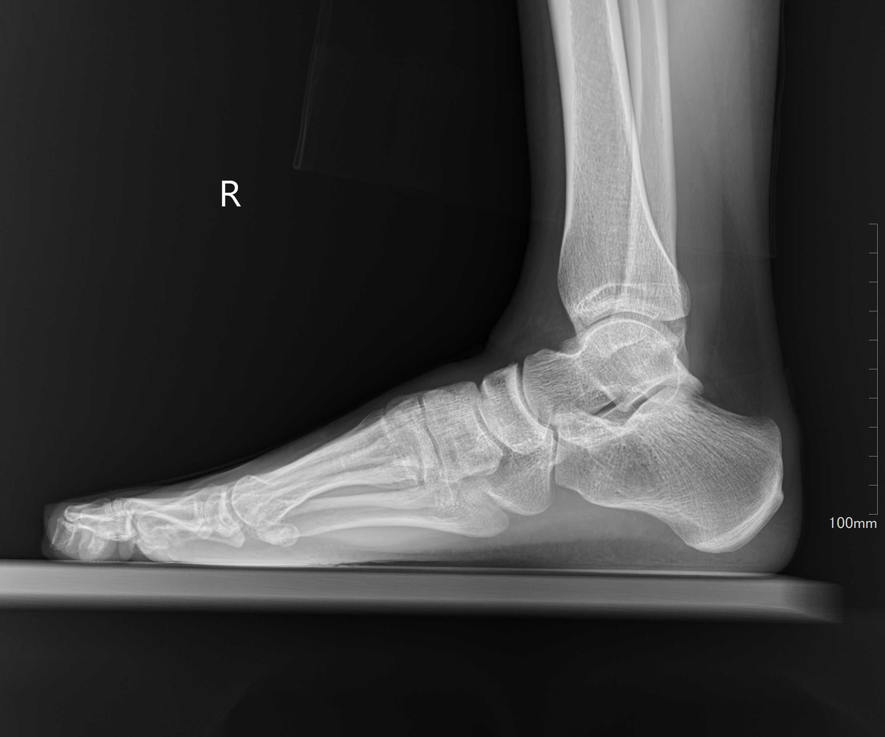
初回検査と診断
受診時、まずレントゲン検査を実施しましたが、骨に異常は認められませんでした。

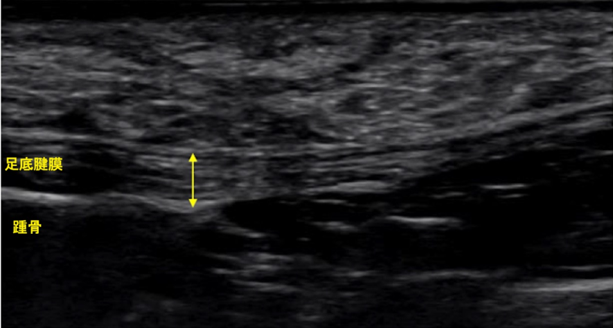
続いて超音波(エコー)検査を行ったところ、足底腱膜(そくていけんまく)という足の裏にある組織の腫れを確認しました。

上記の所見から足底腱膜炎と診断しました。
○ 足底腱膜炎とは?
足底腱膜は踵の骨から足の指の付け根まで扇状に広がっている強靭な線維性の組織で、歩行時に足のアーチ(土踏まず)を支え、地面からの衝撃を吸収する重要な役割を果たしています。この足底腱膜に炎症が起きた状態が「足底腱膜炎」です。
初期治療の実施
診断後、まずは炎症のコントロールが重要と考え、以下の保存的治療を開始しました。
- 痛みと炎症を抑える内服薬・外用薬の処方
- 足底への負担を軽減するインソールの装着
- 理学療法士によるリハビリテーション
検査で、足の指をうまく使えていないことと偏平足(土踏まずが低下している状態)が見られたため、足の指を動かす練習や足のアーチを支える筋肉を鍛える運動を中心にリハビリを実施しました。
※この症例は一例であり、すべての方に同様の効果を保証するものではありません
1ヶ月後の状態と追加検査
約1ヶ月間の保存的治療により、インソールやテーピングで保護すれば日常生活の歩行は可能になりました。しかし、素足での痛みは依然として残存し、特に患者様が希望されていた趣味のサーフィン復帰には、素足でも痛みがない状態まで改善する必要がありました。
保存的治療で十分な改善が見られなかったため、より詳しく状態を調べるためにMRI検査を実施しました。その結果、足底腱膜の付着部(踵の骨にくっついている部分)と、その周囲の脂肪組織に変性(組織の質が変わってしまうこと)が認められました。


体外衝撃波治療の実施
MRIの所見から、この患者様の症状に対しては体外衝撃波治療が効果を示す可能性があると判断しました。体外衝撃波治療とは、体の外から衝撃波というエネルギー波を患部に照射する治療法で、痛みを感じる神経に作用して痛みを軽減させたり、組織の修復を促進したりする効果が報告されています。
体外衝撃波について詳しくはこちら
患者様に治療内容、期待できる効果、起こりうるリスクについて十分にご説明し、ご同意をいただいた上で、集束型の体外衝撃波治療を合計5回実施しました。

治療開始後、1回目の直後から痛みの軽減を実感され、その後一時的に痛みが少し戻ることもありましたが、回数を重ねるごとに徐々に痛みが改善していきました。
※治療効果には個人差があります
治療結果
客観的な評価
治療効果を客観的に評価するため、FAAM(Foot and Ankle Ability Measure)という足や足首の機能を数値化する国際的な評価指標を使用しました。100点満点で、点数が高いほど状態が良いことを示します。
- 日常生活動作項目: 治療前65.5点 → 治療後92.9点
- スポーツ項目: 治療前15.6点 → 治療後78.1点
特にスポーツ項目では大幅な改善が見られ、趣味のサーフィン復帰に向けて大きく前進しました。
患者様が実感された改善
歩行時の痛みについて
- 治療前:歩いて体重をかけると強い痛みがあり、テーピングやインソールで保護しなければ歩けない状態
- 治療後:保護なしの素足で硬い地面を歩いても痛みが出現しなくなりました
日常生活の変化
- 治療前:買い物や散歩など歩く必要がある活動を避けるようになり、外出が億劫に
- 治療後:痛みを気にせず外出できるようになり、以前のような活動的な生活を取り戻すことができました
趣味のサーフィンについて
- 治療前:痛みのため完全に休止、砂浜を歩くことすら困難
- 治療後:素足で砂浜を歩けるようになり、サーフィン再開の目処が立ちました
※治療効果には個人差があります
※症状や病態により結果は異なります
医師・スタッフより
担当医より
「この患者様は、素足では踵をつけることができないほどの強い痛みがあり、初診時は大変お困りの様子でした。まずは炎症のコントロールが重要と考え、内服薬・外用薬の処方とインソール装着をご提案し、足の機能改善のためのリハビリを実施しました。
1ヶ月間の保存的治療で日常歩行は可能になりましたが、素足での痛みが残存していました。MRI検査で足底腱膜の付着部と脂肪組織の変性を認めたため、このような慢性的な変性に対しては体外衝撃波治療が効果を示す可能性があるという報告に基づき、治療をご提案しました。
同じような足底の痛みでお困りの方は、まず痛みの原因を正確に診断することが大切です。お一人で悩まず、お気軽にご相談ください」
理学療法士より
「リハビリを担当させていただいた際は、足底の痛みが強く、歩行時の不安が大きい状態でした。1ヶ月間真面目にリハビリに取り組んでいただきましたが、素足での痛みの改善が十分ではありませんでした。
担当医と相談の結果、体外衝撃波治療を追加することになりました。治療後は1回目から痛みの軽減を実感していただき、回数を重ねるごとに改善していく様子を見ることができ、私たちスタッフも大変嬉しく思います。同じような症状でお悩みの方は、ぜひご相談いただければと思います」
最後に
足底腱膜炎による痛みは、歩く・立つといった基本的な動作に影響し、日常生活の質を大きく低下させることがあります。「朝一歩目が痛い」「素足で踵をつけると痛い」といった症状が続く場合は、我慢せず早めの受診をおすすめします。
当院では、レントゲンや超音波、必要に応じてMRIなどを用いて原因を丁寧に確認し、患者様お一人お一人の状態に合わせて、内服薬・外用薬、インソール、リハビリテーション、体外衝撃波治療などの選択肢から適切な治療法をご提案いたします。
足底の痛みでお困りの方は、一人で悩まず、まずは担当医にご相談ください。
【重要なお知らせ】
• この記事でご紹介した症例は一例であり、すべての患者様に同様の効果を保証するものではありません
• 治療効果には個人差があります
• 症状や病態により、適切な治療法は異なります
• 体外衝撃波治療には、治療中や治療後の一時的な痛みや腫れ、皮膚の赤み、内出血などのリスクが伴う場合があります。また、ペースメーカーを使用している方、妊娠中の方、血液凝固障害のある方など、治療を受けられない場合があります
• 詳しい治療内容、リスク、費用等については、必ず医師にご相談ください
※ご不明な点がございましたら、お気軽にお問い合わせください