医療情報・コラム
体外衝撃波治療の効果のある膝の痛み
膝関節疾患は様々ありますが、その中でも体外衝撃波治療が適応である疾患は限られてきます。
いくつか報告のある疾患を説明します。
体外衝撃波治療の効果のある膝関節疾患

膝関節で体外衝撃波治療が有効な疾患を紹介します。
上図の①②③膝蓋腱症
④大腿骨・脛骨軟骨損傷
これらの疾患で効果を認めやすいです。
さらに詳しく説明してきます。
膝蓋腱症

①膝蓋腱実質部
お皿と脛を結ぶ腱自体が痛くなります。
②脛骨粗面
膝蓋腱が脛に付着する部分が痛くなります。
③膝蓋骨下極
お皿の下の部分が痛くなります。
なぜ膝蓋腱症に効果があるの?
上記の部位が痛くなってしまう理由は様々あります。
膝蓋腱はジャンプ動作やダッシュなどで膝を多く使うと過度に引き伸ばされるストレスがかかります。
そのストレスが過剰にかかることで小さな傷が腱線維に起き、出血・浮腫などが生じ腱の脆弱性・変性がもたされます。
腱変性は、新生血管の増生や炎症性のサイトカインの放出が局所で起こり変性が起こります。
そのため、上記の①・②・③の部分が痛い方はその部位に炎症などが生じ変性が進んでいる可能性があります。
そこで、体外衝撃波治療を痛みの出ている部分に行うことで効果を認める可能性があります。
体外衝撃波治療を腱の変性部位(悪くなっている部位)に照射すると
1)血管新生・コラーゲン産生を促され成長因子が産生され、腱周囲における血管新生を誘導し組織修復が起こります。
2)疼痛伝達物質(TGF-β・IGF産生亢進)を減少させる効果があります。
症例提示
18歳・男性・スポーツ野球
2023年11月くらいにランニングしていたら膝の下あたりに痛みが出現しました。
痛みの出る動作は、階段動作や立ち上がりの動作、ランニングなどでした。

オレンジ色で塗りつぶされている部分
2023年にMRIを撮像し、体外衝撃波治療を3回実施しました。

悪くなっている場所です。
一番最初の図で示している
①と③の部分が病変部です。

異常だと正常と比較してわかるように
黄色く塗りつぶされている部分が黒く抜けており
ドップラーといって炎症反応があります。
MRIと超音波画像で病変部を特定することで効果を得られやすくなります。
痛みは徐々に改善しました。(下に示すのが痛みの変化の推移)

痛みの推移を見ると、治療前が100だとすると治療直後は3割程度痛みが減少し
2回目の治療の時にはやや痛みは増え、また痛みが減りと階段状に痛みが減る傾向です。
少しずつ野球にも復帰でき、現在では完全復帰できています。
変形性膝関節症
変形性膝関節症は関節周囲の炎症と軟骨損傷の破壊によっておきます。
体重負荷により病変は大きくなり軟骨下骨は時間経過とともに摩耗します。
長年、関節に負荷をかけ続けると関節軟骨の破壊や骨嚢胞、骨棘(骨のとげ)の形成が進み
変形が進行していきます。
変形性膝関節症の重症度はレントゲンで分類できます。
変形性膝関節症の重症度分類

変形は進行し始めると不可逆的(元に戻らない)です。
上記の図で示すようにK-L分類の1に該当すると2→3→4へと進行していきます。
そのためには体重の減量や筋力強化や注射などを行い進行予防を行う必要があります。
それでも乏しい場合は体外衝撃波治療を行います。
大腿骨・脛骨軟骨損傷

歩行や立ち上がりなどの動作時には膝周囲の大腿骨(太ももの骨)脛骨(脛の骨)の軟骨下骨に痛みが出ることがあります。
なぜ変形性膝関節症に効果があるの?
関節軟骨の破壊・軟骨下骨の硬化・骨髄異常陰影(Bone marraw Lesion:BML)などが起こり、変形が進行していきます。BMLとはMRIで骨髄内に輝度変化を認めること、すなわち軟骨の下の骨に負担がかかり骨髄の中に炎症や浮腫が起こっている状態を指します。体外衝撃波治療では変形の改善は認めませんが、BMLを認めると報告されています。BMLに体外衝撃波治療を行うことで、照射の刺激により血流量が増加して骨細胞の活性化につながり新生血管が形成され修復されると報告されています。そのため、治療を行う前にMRIを撮像してBMLを認めるかを検査する必要があります。MRIでBMLを認める場合は、体外衝撃波治療を行うことでBMLの縮小化、疼痛の鎮静化を図ることが期待できます。
症例提示
64歳・女性・趣味は旅行
最初の発症は2014年に痛みが出現しました。
2023年の10月にレントゲンを撮影して変形の進行を認めました。
KL分類で右は2、左は3でした。
リハビリで膝や股関節周囲のトレーニングを行いました。
痛みは徐々に和らぎましたが、歩く機会が多くなると徐々に痛みが強くなりました。
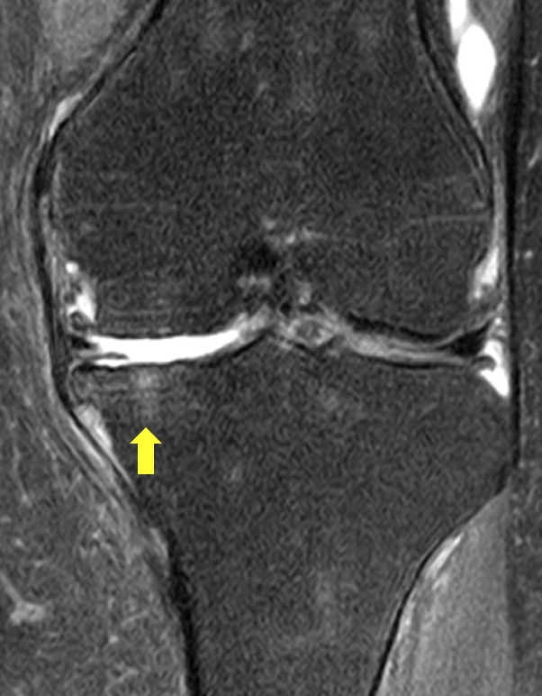
MRI撮影を行い、膝の脛骨にBMLを認めました。
そのため体外衝撃波治療を実施しました。

黄色矢印のところが白くなっています。
これがBMLです。

正面から見た画像とちょうど同じ部分に
BMLを認めています。
下に痛みの推移を示します。

今回の症例様は2回治療を行いました。治療直後はかなり疼痛の減少を認めています。歩行時の痛みも減少していますし、歩容(歩く姿)も改善していました。