医療情報・コラム
骨折の治療
骨の痛みの種類
骨の痛みはさまざまあり、外傷的に生じるものから過度なスポーツの蓄積から生じるものと種類があります。
骨折
転倒、転落、衝突、交通事故などで外傷を起こした際に起こる骨折
疲労骨折
過度なスポーツなどによる集中した力が加わることで生じる骨折
骨端線損傷
成長期に見られる成長に必要な成長軟骨が過度な練習を繰り返すこと生じる損傷
圧迫骨折
骨粗鬆症(骨量が減って骨が弱くなり骨折しやすい病気)に伴い腰椎、胸椎が外部から加えられた圧迫する力による骨折
骨折とは
骨が折れた状態を示しますが、骨組織が肝前に離断された状態だけが骨折ではありません。例えば、骨にヒビが入っていると診断された場合、「骨が折れなくてよかった」と安堵する人は多いと思います。しかし、骨にヒビが入った状態はズレない骨折を意味する呼び方です。そのため、骨の一部が欠けたり、つぶれたり、凹んだりするのも骨折に含まれます。

骨折の原因
骨折の原因は多くは外傷によるものがほとんどですが、それ以外にも原因にあり、大きく「外傷によるもの」「疲労によるもの」「病気などによるもの」の3つに分けられます。
外傷性骨折
転倒、転落、衝突、交通事故などで外傷を起こした際に起こる骨折です。
疲労骨折
過度のスポーツなどによる集中した力が加わることで、小さなひびがたくさん発生したために起こる骨折です。
病的骨折
骨粗鬆症、骨腫瘍などの病気が主な原因となり、骨の強度が低下して起こる骨折です。
骨折を疑う症状
どのような症状が見られたら骨折を疑うべきか?
・腫れている
・内出血している
・押すと痛い
・体重をかけると痛い
・日に日に痛みが増している などです。
下記で詳しく説明していきます。
・変形:皮膚がボコッと突き上げられているような「変形」みられるとき
・腫れ:外力がかかった部位のなどが腫れているとき
・痛み:患部を押すと激しい痛みを感じる。骨折の痛みは、捻挫などの痛みよりも強いという特徴があります
・力が入らない:いずれかの部位に麻痺症状が現れているとき
・音:骨が折れている部分を動かすと「ポキポキ」というような音が聞こえるとき
・青あざ(数日後に現れる):
ただし、内出血が体表に青あざとして現れるのは、骨折してから2~3日後がほとんです。
不全骨折など骨折の程度が軽い場合、痛みなどがあまりなく足や手を使えてしまうこともありますが、
何らかの外力がかかった数日後に青あざが出てきたという場合は骨折を疑って病院を受診しましょう。
・骨折により低血圧や冷や汗、めまい、発熱が出たとき
骨折が引き金となる低血圧やめまいには2種類あり、対処法も異なるものとなります。一つは一般的な腕や足の骨折時に自律神経のショック症状として現れる低血圧や幻暈です。
もう一つは、骨盤骨折などによる出血性ショック症状として現れる、バイタルサインの変動です。こちらは輸血が必要になる重篤な症状です。特に骨盤は容積が大きく、
出血による圧迫感など自覚症状が現れるのは相当量の血液が溜まってからとなります。
骨盤骨折の原因は交通事故や高所からの転落など、大きなエネルギーがかかることがほとんどです。しかし、高齢者の場合は外傷を受けた直後は歩行などもできてしまい、
数時間後に動けなくなり骨盤骨折とわかるケースもあります。そのため、骨盤骨折は特に高齢者においては非常に「怖い骨折」と言えます。
骨折の画像診断
骨折を判断する画像検査は3つに分かれます。
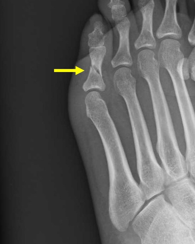
単純レントゲン撮影
X線(エックス線)を体にあてる(照射する)ことにより、画像化する検査です。空気は黒く、骨は白く見えます。一般的に『レントゲン撮影』と呼ばれます。

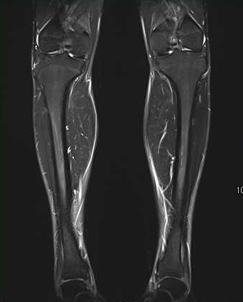
MRI撮影
磁気共鳴画像(Magnetic Resonance Imaging)の略です。 エックス線は使用せず,強い磁石と電磁波を使って体内の状態を断面像として描写する検査です。単純レントゲン撮影では分からない微細な骨折、疲労骨折や圧迫骨折の新旧など判断できます。

CT撮影
CT検査(Computed Tomography:コンピュータ断層診断装置) CT検査は、X線を使って身体の断面を撮影する検査です。骨折の部位の特定、転位(骨のずれ方)など判断できます。


骨折の治療
保存療法、手術療法と2通りあります。骨の転位(ズレ)がなく、比較的若く骨癒合しやすい骨折の場合は保存療法となります。骨の転位があり、年齢も高く骨癒合しずらい骨折の場合は手術療法になります。
保存療法
骨折部位にもよりますが、一定期間の固定が必要にます。理由は患部の安静と骨折部がズレないようにするためです。
固定期間中も他の部位が硬くならないようにリハビリが大切です。
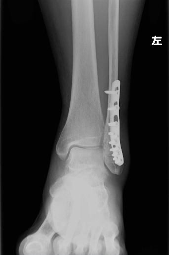
手術療法
骨の転位が強く、骨癒合乏しい場合は手術療法を選択します。
手術方法は①プレート固定、②ピンニング固定、③スクリュー固定



※手術決定した場合は都立大整形外科クリニック、もしくは日頃お世話になっている他院へ紹介となります。
骨折が治るまで
骨折が治るまでには、「炎症期」、「修復期」、「リモデリング期」という3つの期間があり、異なる細胞群が互いに協調しながら骨を治していきます。
炎症期
ダメージを受けた組織や骨の破片、内出血した血液などが免疫系の細胞によって掃除されます。
骨折した後、骨折した部位の周辺が腫れてズキズキと痛みますが、これは免疫系の細胞の活動と血流量の増加が原因です。
修復期
ヒビが入ったり、折れてしまった骨が徐々に新しい骨「仮骨(かこつ)」に置き換わっていきます。
仮骨はカルシウムを含んでおらず、ゴムのように軟らかく弾力がある未熟な骨で、まだ強さや安定性がありません。
リモデリング期
骨が元の正常な状態に修復されていく期間です。
この期間では「修復期」にできた仮骨が少しずつ強い骨に置き換わっていき、骨が本来もっていた正常な形や構造が回復されていきます。
骨折部位ごとの治療期間
各部位ごとに骨癒合の日数は異なります。また骨癒合には個人差があります。

| 部位 | 仮骨出現 | 骨癒合 | 機能回復 | |
| ①指骨 | 2~3週 | 3~6週 | 6週 | |
| ②中手骨 | 2~3週 | 3~6週 | 6週 | |
| 橈骨 尺骨 | ③肘関節内 | 3週 | 5週 | 12~14週 |
| ④骨幹部 | 3週 | 6~8週 | 10~12週 | |
| ⑤手関節内 | 3週 | 6週 | 7~8週 | |
| 上腕骨 | ⑥上端部 | 2~4週 | 6週 | 8~12週 |
| ⑦骨幹部 | 2~4週 | 6週 | 8~12週 | |
| ⑧下端部 | 2~4週 | 6週 | 8週 | |
| ⑨骨盤 | 4週 | 8週 | 8~16週 | |
| 大腿骨 | ⑩頚部 | 12週 | 24週 | 60週 |
| ⑪転子間部 | 4週 | 12週 | 16週 | |
| ⑫骨幹部 | 6週 | 12週 | 14週 | |
| ⑬顆上部 | 6週 | 12週 | 14週 | |
| ⑭膝蓋骨 | 6週 | 6週 | 6~12週 | |
| 脛骨 腓骨 | ⑮膝関節内 | 6週 | 6週 | 14週 |
| ⑯骨幹部 | 4週 | 6週 | 12週 | |
| ⑰中足骨 | 2~3週 | 3~6週 | 6週 | |
超音波骨折治療

超音波骨折治療ではこの細胞を微弱な超音波で刺激し骨を新しく作る能力を賦活してやることが出来ます。
これによって骨折治癒期間を短縮することができます。科学的に厳密な方法で臨床研究した結果では骨折の治癒期間が約40%も短縮されることがわかりました。
都立大整形外科クリニックで扱っているのはアクセラス超音波治療器です。
また医師の指示のもとレンタル超音波治療器借りて、自宅で治療を行えます。
上記の治療に関しては骨折後、3ヶ月経過して骨癒合が認められない場合、適応になります。