医療情報・コラム
筋肉の治療「急性の痛み(肉離れ)と慢性の痛み」
筋肉の痛みの種類と治療
筋肉には、筋肉への過剰な負荷、疲労の蓄積、over useから外傷などのアクシデントがあって起こる「急性の痛み」と、筋疲労、収縮不全が引き起こす「慢性の痛み」があります。


急性の筋肉の痛み(肉離れ)
さまざまなスポーツ競技中に発生することが多く、特にももの裏側(ハムストリングス)、ももの前側(大腿直筋)ふくらはぎ(下腿三頭筋)の順に好発しやすいです。受傷時に「急に力が抜けた」「バキッと音が鳴った」などの訴えもあります。ハムストリングスは疾走中接地の前後、大腿直筋はボールを強く蹴る際などで多く見られます。

肉離れの原因
運動中のジャンプやダッシュ動作、急な切り返し動作など、筋肉の瞬間的な収縮が過度に行われることで、筋肉や筋膜が急に引き伸ばされて損傷します。
その背景に、柔軟性の低下、筋疲労などが原因と言われています。肉離れの原因には、肉離れの既往歴や年齢、筋力低下や柔軟性低下、関節可動域制限、筋疲労、バランス能力低下などがあげられます。

肉離れの症状
損傷を起こした筋肉に痛みが生じます。痛みは、伸ばしたとき(伸張痛・ストレッチ痛)や力をかける時(収縮時痛)に強く出ます。
そのため、ももやふくらはぎに肉離れが生じると、重度の場合、体重をかけることで痛みが強くなり、うまく歩くことができなくなってしまいます。
重症度の肉離れを起こすと、見た目の変化を伴うこともあります。たとえば、断裂した部位がへこんだり、内出血を伴ったりすることがあります。
肉離れのセルフチェック
筋肉の肉離れを起こした場合は、その筋肉を収縮したり伸ばしたりする時に痛みが出ます。下記の動作で筋肉に痛みが出る場合は肉離れが疑われます。
★損傷がある場合、下記の写真のような角度まで動かないことがあります。
★痛みが強い場合は無理せず、無理やり伸ばすことは避けましょう。
ハムストリングスのチェック方法
【右ハムストリングスを損傷した場合】
仰臥位で右足を抱き、そこから膝を伸ばします。損傷している場合太ももの裏に伸張痛を感じます。

大腿四頭筋のチェック方法
【左大腿四頭筋を損傷した場合】
うつ伏せになり、膝を曲げます。損傷している場合太ももの前に伸張痛を感じます。

下腿三頭筋(腓腹筋)のチェック方法
長座位で膝を伸ばして座ります。足首、つま先を体のほうへ反らします。損傷している場合、ふくらはぎに伸張痛を感じます。

肉離れの診断と重症度の見分け方
都立大整形外科クリニックでは肉離れの診断に単純レントゲン撮影、超音波検査・磁気共鳴画像装置(MRI)を行います。
まず、単純レントゲン撮影で骨折の有無を調べます。MRIを用いて肉離れの重症度分類を行います。
肉離れの重症度の分類
- Ⅰ型:出血所見が特徴である軽症型
- Ⅱ型:肉離れの典型例で筋腱移行部、腱膜の損傷が特徴の中等症型
- Ⅲ型:腱性部の断裂や筋腱付着部での裂離損傷といった重症型

| MRIでの特徴 | 病態 | 奥脇分類 | |
| Ⅰ型 | 出血所見 | 筋腱移行部の血管損傷のみ | 腱・腱膜に損傷がなく、筋肉内または筋間・筋膜の出血 |
| Ⅱ型 | 筋腱移行部・腱膜の損傷 | 筋腱移行部損傷、腱膜の損傷 | 筋腱移行部の腱・腱膜の損傷 |
| Ⅲ型 | 腱性部の断裂や筋腱付着部での裂離損傷 | 腱性部(付着部) の完全断裂 | 筋腱の短縮を伴う坐骨付着部近くの共同腱または総腱(共同腱および半膜様筋腱膜)の完全断裂または付着部完全剥離 |
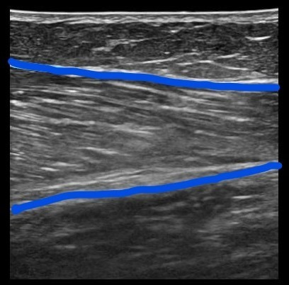
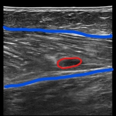
超音波診断装置を用い筋組織に炎症、損傷が生じているか画像所見を用い診断しています。下の画像はふくらはぎを撮像したものです。左は正常な筋繊維です。右は肉離れの状態です。


★正常な筋繊維の場合、筋配列がきれいに見えます。
筋損傷を起こすと筋配列が崩れます。また、赤く囲った部分に炎症による血腫が見えます。
肉離れの治療
治療法は保存療法が中心となりますが、ストレッチ痛の強いⅢ型に関しては手術療法も考慮する必要があります。肉離れは重症度が高い場合は競技の継続が困難になるだけでなく、競技復帰までに長期間のリハビリテーションが必要となります。
都立大整形外科クリニックでは、肉離れ(筋損傷)と診断後、急性期にRICE処置を指示しています。特にcompression(圧迫)は弾性包帯やより強度の強いスーパーラップを処方し受傷後、日常生活でも固定・装着するよう進めています。
固定期間は重症度により異なります。固定期間中もできるだけ短い時間で、筋機能を最大限に回復し、早期のスポーツ復帰を図るためリハビリテーションを行っています。受傷直後の正しい炎症抑制により、その後の関節制限や筋力低下、柔軟性低下などの制限が軽減します。リハビリは、受傷期間や患部の状態に応じて段階的に行なっていきます。
★ハムストリングス Ⅱ度損傷の場合のリハビリテーション(例)
初期:RICE処置 (R:Rest安静 I:Icing冷却 C:Compression圧迫 E:Elevation挙上)
【目的】 受傷部位や周囲組織の二次的な障害を予防
アイシングは、氷を利用し1回10-15分行う
歩行に支障をきたす場合は、松葉杖を使用し日常生活でなるべく患部に負担をかけないようにする

中期 :膝屈曲-伸展他動、自動運動から開始する
【目的】 痛みと腫脹を最小限にし瘢痕形成を防ぎながら、トレーニング開始 伸張動作は避ける
股関節から膝関節にかけての二関節筋のため股関節の可動域訓練も行う
二枚目の自動運動では踵を床に滑らせて行うヒールスライドを実施


後期:ストレッチ痛が軽減しストレッチ可能となったら、筋力・持久力・全身協調性訓練を行う
【目的】 痛みのない範囲での筋力強化、荷重トレーニング
スクワットやランジ動作の荷重運動や瞬発的に力を発揮する運動も行う


スポーツ復帰の目安
画像所見、ストレッチ痛、圧痛、抵抗運動痛がないことなど医師が判断したら徐々にスポーツ復帰していきます。
肉離れした時の圧迫方法(スーパーラップ)
★ふくらはぎへの圧迫施行 例
①マジックテープがついている側から巻きます
②損傷部位を真ん中になるように損傷部位の下方から巻き始めます
③前方から後方へ巻く際に軽く圧迫をかけながら巻いていきます
④指が1本入るくらいがきつすぎず緩すぎず、立ってもずれにくいです
肉離れの予防
肉離れの発生要因には下記のようなことがあります。
- 筋肉の柔軟性の不足
- ウォーミングアップやストレッチ不足など
- 筋肉疲労
- 主動作筋と拮抗筋の筋力バランスの不良
- 筋力や持久力の低下
- 間違ったフォームや動作の繰り返し
肉離れの後の注意点
断裂部位は、瘢痕組織が入り込み、その後数か月かけて筋肉組織に入れ替わって治癒します。瘢痕組織は従来の筋肉よりも耐久性、伸縮性が劣るため、瘢痕組織部分で再受傷しやすいです。そのため受傷後の早期のRICE処置とリハビリが大切です。
再受傷の要因は不完全治癒のまま、早期に負荷をかけ同部位に損傷することや、損傷しやすい動作の改善なく一度損傷した近くの部位を損傷するなどがあります。そのために、患部のマッサージや無負荷から負荷をかけていくなど時期に応じた筋力強化トレーニング、バランストレーニングを行なっていきます。
段階的リハビリの為に、まずは現状の患部の状態を医師に診察してもらいましょう。
肉離れ予防のためのコンディショニング
専門スキルをもつコンディショニングトレーナーによるトレーニング指導、身体の評価により、あなたのケガからの早期復帰、予防まで行います。柔軟性のある体、瞬発力・持久力のある筋力、正しいフォームを身につけることで、傷害を防ぎ1日でも長くスポーツを楽しめる体つくりが必要です。
慢性の筋肉の痛み
筋肉が凝り固まり柔軟性や滑走性の低下を呈し、痛みを引き起こした状態です。
ハイドロリリース注射
ハイドロリリースは症状に対して、エコーガイド下で神経周囲や結合組織に生理食塩水や局麻剤等を注入して、組織の癒着を剥がし痛みを軽減させる治療法です。生理食塩水やブドウ糖液などなので人体への負担が少なく、注射後は可動域や痛みの軽減を図ります。

ハイドロリリース後のリハビリ
慢性的な筋肉の痛みに対して、医師は痛みを内服治療やハイドロリリースで痛みを緩和させ、理学療法士がハイドロリリースを行なった組織部位のストレッチ、正しい体の使い方や姿勢指導、筋力トレーニングの指導を行います。注射後も良姿勢、ストレッチやエクササイズを継続的に行うことで疼痛軽減継続、改善を図ることができます。