医療情報・コラム
胸部レントゲン検査
胸部レントゲン検査とは
胸部レントゲン検査は胸部にX線を照射することで陰影を写しだし、肺や心臓、骨などの異常の有無を調べる検査です。
健康診断でも日常的に行われておりこれまでにこの検査を受けたことがない方はいないかと思います。
胸部レントゲン検査の際に照射するX線による放射線被爆量はおよそ0.06mSV(ミリシーベルト)程度でこれは成田~ハワイ間を飛行機で往復する際に被爆する量に相当します。(日本国内在住では平均して1年間に2.1mSV程度の自然被爆があると言われています。)
検査による被爆のリスクはゼロではありませんが、胸部レントゲン検査は肺や心臓といった重要臓器の異常の有無を検出することができることから、極めて有益な検査として頻用されています。
・健診や検診で撮影した場合
症状に関わらず、肺や心臓を中心に広く異常の有無を確認します。
健診の胸部レントゲン検査で異常を指摘され精密検査を指示された場合には病院での二次検査(胸部CTなどの精密検査)を受けましょう。
・特定の症状があり撮影した場合
肺炎の所見がないか、胸水がたまっていないか、心臓が大きくなっていないかなど診療の中で検査を行い異常の有無を確認します。結果に応じて対応を考えましょう。
主な疾患や検査所見
比較的頻度の高い検査所見をいくつか紹介します。
①肺炎
細菌やウイルスの感染により肺に炎症を来した状態です。発熱や咳、痰、呼吸困難、呼吸不全(酸素不足)のような症状が出たり、血液検査では炎症反応の数値の上昇を認めたりします。
胸部レントゲン検査では、肺の部分に様々な大きさや形、濃淡(浸潤影、すりガラス影)の陰影を作ります。原因となる細菌やウイルスによっても陰影は様々ですが、肺炎の診断において胸部レントゲン検査は極めて重要な検査です。
肺炎と診断した場合には、咳や痰、発熱の症状を緩和する治療や抗生物質投与、酸素吸入治療を行う場合があります。重症の場合には、入院治療や人工呼吸器使用、集中治療が必要になることもあります。
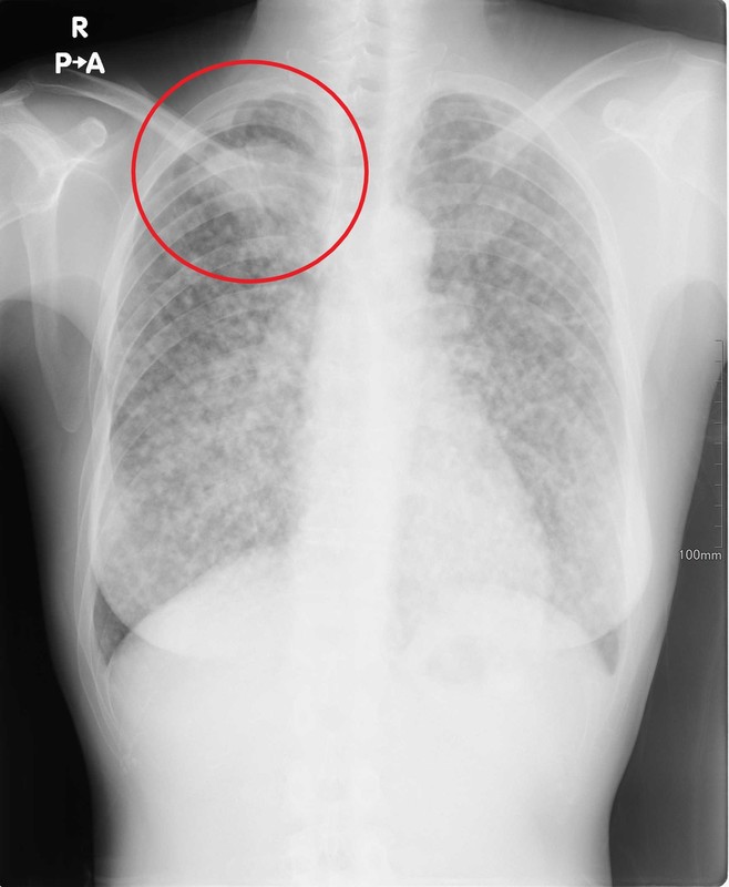
②気胸
肺がパンクして肺を包む胸腔に空気が漏れて肺が縮んでしまう状態です。10歳代のやせ形の男性に好発する自然気胸や肺の病気(間質性肺炎やCOPDなど)や事故などの外傷によって二次的に気胸を起こす場合があります。胸痛や呼吸困難の症状を来します。
胸部レントゲン検査では、正常は肺の陰影が縮んでしまい漏れ出た空気で置き換わり黒くうつります。
程度がひどい場合には針やチューブを指してたまっている空気を抜き出すドレナージを行う必要があります。漏れ出た空気によって大きな血管や心臓が圧迫されて致命的になる緊張性気胸に注意が必要です。
気胸の有無やその程度を評価し対応するために胸部レントゲン検査が必須です。

↑外傷(ケガ)によって肋骨を骨折して気胸(赤丸部分)を伴った症例です。
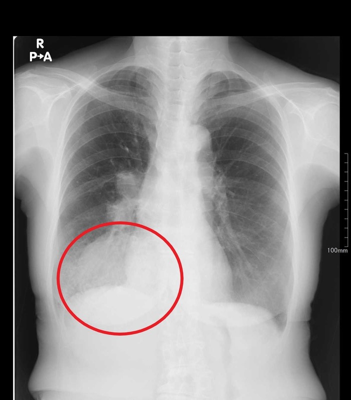
③胸水貯留
肺を包んでいる空間である胸腔に様々な原因で水がたまってしまっている状態です。
炎症が強い場合には胸痛の症状が出たり、呼吸困難や呼吸不全などの症状を認めたりします。
胸水が貯留する原因は数多くあり、感染症によって膿(うみ)がたまる膿胸や悪性腫瘍(肺癌や胸膜中皮腫など)による癌性胸水、心不全による循環不全、肝硬変、栄養障害など実に様々です。
症状や経過、血液検査の結果に加えて胸水を抜き取って検査(細菌検査や胸水の性質を調べる)を行い総合的に原因を探ります。原因に応じて抗生物質を投与したり、心臓や肝臓の治療をしたり栄養状態改善をはかったりします。
胸水が大量にたまっている場合には、気胸のときと同様に針やチューブでたまった水を抜き出したりするドレナージを行うこともあります。
④心不全
心不全により心臓の機能が低下して循環不全を起こす状態の総称です。
状態が悪化すると咳や呼吸困難や胸部苦悶、むくみなどの症状を認めたり、血圧不安定、呼吸不全を起こしたりします。
心不全の原因は、狭心症や心筋梗塞といった虚血性心不全や不整脈による心不全、サルコイドーシスやアミロイドーシスなどの特殊な疾患による心不全など様々にあります。
心不全の検査として胸部レントゲン検査や採血検査、心臓超音波検査などを行います。
胸部レントゲン検査では、胸水が貯留し心臓が大きく、肺の中にも水分がたまってうっ血した所見を認めます。
慢性的には利尿剤や降圧薬、強心薬などの薬物療法を行い、急性増悪時には入院治療が必要になることもあります。
⑥COPD
タバコなどの有害物質の吸い込みにより肺の機能が低下した状態となる疾患です。
きめ細やかな肺胞構造がタバコによって壊れてしまい(肺気腫)、壊れた肺構造はもとには戻りません。
慢性的な咳、痰、息切れの症状を認め、風邪や肺炎を背景に呼吸状態の急激な悪化(急性増悪)を来すことがあり注意が必要です。
胸部レントゲン検査では、肺の濃度低下や肺の膨張の所見、心臓の陰影の縮小(滴状心)、横隔膜の位置の低下/平坦化の所見を認めます。
COPDの診断には呼吸機能検査で閉塞性障害(息を吐く力の低下)の評価も行います。
禁煙をして、吸入薬や内服薬の薬物治療、運動や栄養状態の生活習慣の改善、肺炎やインフルエンザの予防接種を行います。
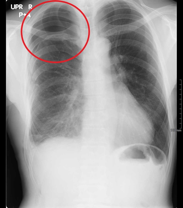
⑦肺癌
肺を発生起源とする原発性肺癌や他の癌からの転移による肺癌があります。
進行すると咳や痰(血痰)、胸部の違和感や痛み、呼吸困難・息切れ、呼吸不全などの症状を認めますが初期には無症状で経過します。
治療のためには早期発見が極めて重要であり、健康診断で胸部レントゲン検査を行う大きな目的の一つです。
胸部レントゲン検査では様々な位置に様々な大きさや形の陰影が認められ、CTでの精密検査を行って必要なら生検による診断へと進みます。
近年、喫煙とは無関係なタイプの肺癌も増えてきており喫煙の有無にかかわらず定期的な胸部レントゲン検査を受ける意義が大きくなっています。


↑それぞれ肺癌を疑う陰影(赤丸部分)を認めます。
胸部レントゲン検査は肺や心臓といった重要臓器の異常を調べることができる非常に有用な検査です。
検査を含めた受診のご相談は電話やホームページからお願いいたします。
対応クリニックについて
・上田整形外科内科(長野:上田市)