Column
医療情報・コラム
検査・お薬・治療法
偽関節・遷延治癒
偽関節
骨折の重篤な後遺症の1つであり、8ヶ月以上経過しても骨癒合を認めないものや
骨折部の骨癒合の過程が完全に停止したものを言います。
遷延治癒
偽関節に対して骨癒合の過程が遅れてはいるが、骨癒合の過程が停止していない場合を言います。
原因
手術感染
内・外固定不良
精神疾患
骨欠損など
発生する部位
脛骨前内側解放骨折後
鎖骨遠位端骨折
上腕骨解剖頚など
診断方法
単純レントゲン
単純レントゲンで偽関節や遷延治癒部の確認をすることはできます。
レントゲンは3Dではないため正確な部位を確認することは難しいです。
例)鎖骨遠位端骨折の偽関節

黄矢印:鎖骨遠位端骨折後の偽関節部
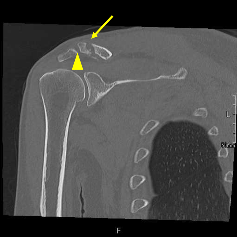
CT
レントゲンでは2Dであるため分かりづらいためCTを用いてより正確な部位を確認します。
3Dなることによって立体的に患部を確認することができます。
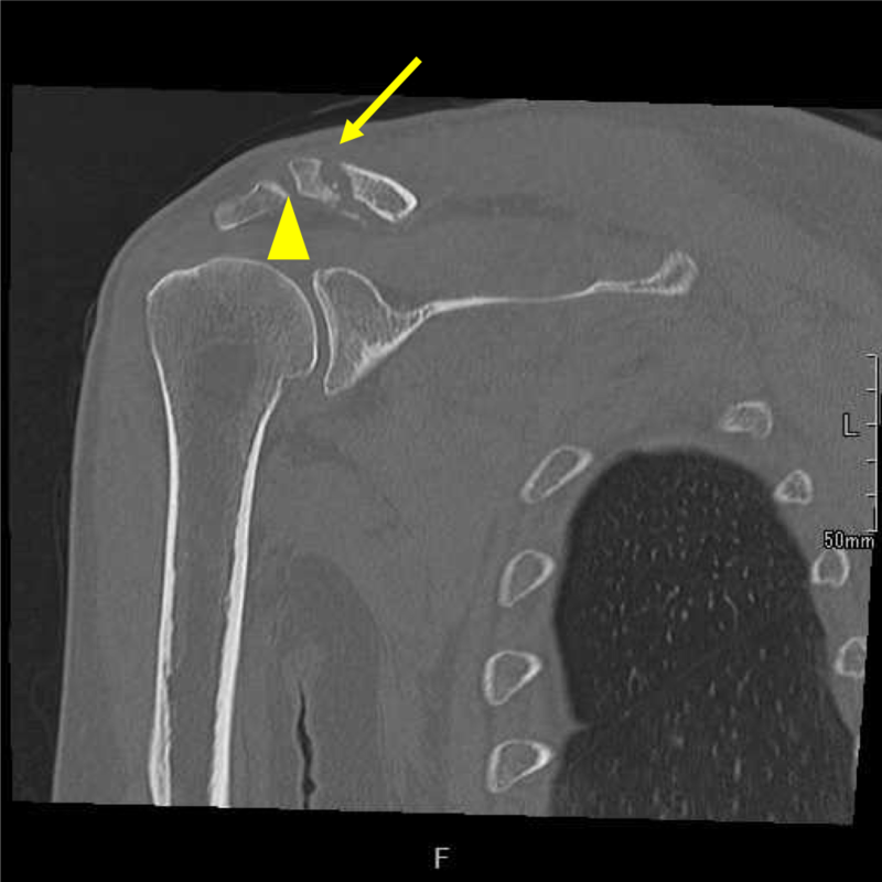
例)鎖骨遠位端骨折の偽関節


矢頭:肩鎖関節
治療方法
超音波骨折治療法(LIPUS)
LIPUSは1990年代から医療ツールとして承認されています。
正式名称は『低出力超音波パルス照射』である。
LIPUSの刺激により骨を形成する骨芽細胞の細胞分化が促進され、
骨ミネラル含有量が増加します。
骨癒合に対するLIPUS刺激は明らかとなっており、
骨折後の回復に多く用いられています。

体外衝撃波
近年では最新の治療として体外衝撃波治療があります。
体外衝撃波は音速を超えて伝わる圧力の波である衝撃波を用いて治療します。
通常の治療でよくならない場合や痛みが続いている場合などに用いて行います。

骨移植法
骨再生療法
*骨移植法や骨再生療法に関しては当院では行なっていないため他院に紹介となります。