医療情報・コラム
腱と筋肉の付着部の痛みと治療
腱の痛み
腱は丈夫な組織でできた線維性の索で筋肉と骨を繋いでいます。
多くの場合原因は不明と言われていますが、加齢により腱が脆弱化したり
スポーツなどで慢性的に腱に負担が繰り返され微細損傷が生じ炎症が起きたことを腱障害と言います。
腱障害とは
慢性的に腱実質や腱付着部に負担が繰り返され微細損傷が生じ負担が繰り返された腱実質や腱付着部に炎症が生じた事を言います。
慢性的に繰り返された腱実質や腱付着部は治りにくく、難治性へと移行していきます。
腱障害では足底腱膜炎や膝蓋腱炎、外側上顆炎、アキレス腱炎といった障害が多いです。

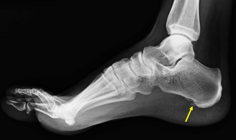
足底腱膜炎
踵に痛みが出る障害であり、主に踵中央部や踵骨付着部に痛みが出ます。
歩行やランニングなどにより常に伸び縮みを強いられ過度な伸張刺激により腱膜が疲労し微小な組織損傷が起こり発症します。
長距離ランナーや跳躍系の選手にも多くみられます。

原因
足底の硬さ、長時間の立位姿勢保持、肥満、床が硬いところでスポーツなど
膝蓋腱炎
膝蓋腱に運動時痛や圧痛が見られる障害です。
バレーボールやバスケットボールなどのジャンプ動作を多く含むスポーツでの有病率が高いです。
そのため、ジャンプ動作を多く繰り返すことにより発症すると言われています。

原因
Over Use、下肢の柔軟性低下
外側上顆炎
一般的にゴルフ肘やテニス肘と言われています。
タオルを絞る動作や肘を伸ばして物を持つときに肘の外側に痛みが出ます。
またゴルフのスイングやテニスのバックハンドを繰り返し行うことで発症することもあります。

原因
ゴルフやテニスといったラケット競技を多く行う(Over Use)
アキレス腱炎
若年アスリートから中高年スポーツ愛好家まで幅広く生じるスポーツ障害です。
アキレス腱の障害といってもアキレス腱の中央部や付着部(踵の後ろ)など痛みの部位が異なります。
長距離ランナーやバスケットボールといったジャンプ動作が多いスポーツでも発症しやすいです。

原因
トレーニング量の急激な増加(Over Use)
腱障害の症状
炎症が起こった腱を動かしたり(筋肉を収縮させる)、変性が起きている腱を押したりすると通常痛みが起きます。
何故筋肉を収縮させると痛みが起こるのか?
筋肉が付着している骨の部分(腱付着部)はストレスが集中しやすいです。
コンセントに例えると、、、
コンセントの線の繋ぎ目はストレスが集中しやすい部分です。

そのため筋肉を収縮させると腱にストレスが加わり変性した腱に痛みが出ます。
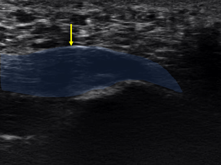
腱障害の診断方法
例)足底腱膜炎


足底腱膜の変性(腫れ)の評価(矢頭)


腱の治療
超音波ガイド下注射
当グループでは超音波診断装置を用いて注射を行っています。
レントゲンやMRI、超音波診断装置でどこが病因なのかを探りその部位に注射を行います。
その際に関節内が問題な場合は関節内に注射を行い、腱周囲や腱付着部が問題の場合は腱周囲や腱付着部に注射を行います。
腱周囲や腱付着部に抗炎症剤を含めた薬液で注射を行い炎症の抑制を目的に行います。
腱周囲や腱付着部に行う場合がありますが、副作用で腱を脆くしてしまうので多用はしません。
体外衝撃波治療
近年では最新の治療として体外衝撃波治療があります。
体外衝撃波は音速を超えて伝わる圧力の波である衝撃波を用いて治療します。
通常の治療でよくならない場合や痛みが続いている場合などに用いて行います。
体外衝撃波治療は『収束型』と『拡散型』の2種類があります。


拡散型の体外衝撃波治療器体外衝撃波の短期的な効果は除痛効果(発痛物質の減少)です。
長期的な効果としては組織修復を望めます。
しかし効果は個人差があります。
リハビリテーション
リハビリテーションでは、
患部に負担をかけた筋肉の硬さを改善させたり、遠心性収縮の様式を用いたエクササイズ、
患部以外も原因となることがあるため患部外のエクササイズも行います。
例)外側上顆炎
①患部のストレッチ

②遠心性収縮様式を用いたトレーニング



③患部外エクササイズ


*腱に障害が起きていることはあくまで結果であり、何かしらの原因で障害が起きます。
そのため、患部に直接的に関係してくる筋肉のストレッチやトレーニング
間接的に関係してくる関節のエクササイズを行い、患部への負担を減らしていきます。