ACPシングル・ダブル
PRP投与に関する採血、調整手技料を含みます
  
 当院に来院される多くの方が「ヒアルロン酸の注射を行っているが効果がない」、「電気治療をしてもらっていたが膝の痛みが取れない」「人工関節手術をするしかないと言われた」と言って来院される患者さんが非常に多いです。 PRP治療は自分の血液の血小板を利用する再生医療です。 膝の変形で悩んでいる方(変形性膝関節症)は、PRP治療の適応です。 PRP治療は”保存療法(ヒアルロン酸注射やリハビリ)”と”手術療法(人工関節など)”の中間に位置する治療法です。 PRPに含まれる成長因子が、体が本来持っている治癒力を引き出します。 自身の血液を使うため、副作用やアレルギーのリスクが非常に低い治療です。 多くの研究で、PRP治療後の痛みを軽減する効果が確認されています。 手術を避けたい患者さんにとって、非侵襲的な選択肢として役立ちます。 自分の血液を使用し組織の修復や炎症を抑える治療法 関節の潤滑と衝撃吸収を助ける物質を膝に注入する治療法 PRP治療とヒアルロン酸注射はそれぞれ有効な治療法であり、患者のニーズに応じて選択していきます。 変形性膝関節症(KOA)に対して PRP(血小板濃縮血漿)注射と HA(ヒアルロン酸)注射を直接比較し、効果と安全性を評価すること。 PRPを介入群、HAを比較群とするランダム化比較試験(RCT)26件、合計約2,430例を対象 主指標:WOMAC(pain, function, stiffness, total)   ヒアルロン酸注射よりPRP注射の方が効果が高いという結果が出ています!   PRP投与に関する採血、調整手技料を含みます 学生の方は割引対象です ACPシングルと比べて約4.5倍の血小板を含みます PRP治療は自由診療となりますので保険適応外です。 当院でのPRPは再生医療の第二種(関節内)、第三種(関節外)にあたります。 当法人では国内外で臨床経験や手術を豊富に積んだ医師のプロ集団が治療に当たります。 当法人ではオリンピック選手やプロスポーツ選手の治療経験を通し、競技特性を考慮した治療や大会までのスケジュールを考慮した治療の提案を行っています。 治療はチームで行い一人一人の患者さんに個別の治療提案を行っています。また、治療成績を一人一人確認するために治療前治療後にグーグルフォームを用いたアンケート(臨床評価スコア)を答えていただき、経過不良例を出さない取り組みを行っています。 MRI、超音波治療診断装置を用いた患部の確認を全症例行なっています。 患部を治療することはもちろんですが、整形外科の臨床場面ではレッドフラッグと言われる緊急性が高く危険性の高い疾患(腫瘍や感染症、大動脈解離)が発見されることがあります。患者さんに安心、安全な医療を提供するためにもMRI等を用いて慎重に検査を進めています。 練習中に疼痛を自覚、その後膝が腫れてきて練習困難な状態となった。 レントゲンでは変形や骨折は認めない状態であった 半月板損傷と滑膜ひだ障害があり関節に炎症が起こっているが骨にはダメージを認めなかった 膝に水腫(水)がたまっており膝への血流量の増加が確認された →膝関節の炎症が起こっていることが明確になった 膝の関節内にPRP治療を施行 大腿四頭筋の萎縮と股関節を安定させる筋群の筋力低下を認めたためこれらの問題を改善するための運動療法と復帰を想定したアスリートリハビリテーションを施行した。 PRP治療1回で繰り返す膝関節の腫脹が改善 痛みの原因は一つとは限りません、PRP治療は全ての問題を解決できるものではありません。当院では症状に応じてPRP+他の治療を組み合わせたコンビネーション治療を提供しています。 歩き始めや階段を下る動作で強い痛みが出現。 レントゲンでは若干の変形は認められるものの関節が大幅に狭くなっている様子もなく人工関節等の手術の適応ではなくMRI検査へ 半月板損傷と滑膜ひだ障害があり関節に炎症が起こっている 膝に水腫(水)がたまっており膝への血流量の増加が確認された MRIでも関節内の炎症、骨のダメージの改善が確認された 合計4回の通院で痛みが消失した 1週間で1クールの治療です。 事前にレントゲン検査や超音波検査、MRI検査を用いて正確に病態を診断します。 リハビリにて理学療法士が事前に機能評価をします。 治療当日に採血をおこないます。通常20cc程度で、広範囲の患部に対してはその倍量となります。 採取した血液を遠心分離を行いPRPを抽出します。通常の遠心分離にかかる時間は5分程度です。 濃縮されたPRPを超音波で患部を確認しながら注入します。 PRP後はバイタルサイン(体調の変化)が問題なければすぐにご帰宅可能です。 ご自身の血液を使うためアレルギー反応は起こさず、超音波で患部を確認しながら注入するため安全な治療です。1. 一般的な治療を行って 効果を実感できなかった  方へ
2. PRP治療  とは
PRPとはPlatelet Rich Plasmaの略で、多血小板血漿のことです。
血液中の血小板を濃縮して活性化させるので、成長因子が多く含まれていて、組織の修復や炎症を抑える作用が期待できます。
PRP注射は、特に膝関節症における痛みの軽減と関節機能の改善に有効であるとされています。
※PRPはあくまで本人の治癒力に依存するため、治療効果には個人差があります。
PRP治療は近年スポーツ整形の領域で注目を集めている治療法です。
当院は長野県で数少ないPRP治療を行っているクリニックです。
3. PRP治療  の適応は?
特に下記の項目に当てはまる場合は検討する価値があります。
	
PRP治療の前にMRI検査をして関節内の状態を精査し、PRP治療の適応か医師が判断します。
関節のすり減り過ぎていて手術適応の場合は、他院での人工関節手術を推奨しています。
4. PRPの効果  と選ばれる理由
自己治癒力をサポート
安全性の高さ
痛みを軽減
手術を回避
5. PRP治療 vs ヒアルロン酸注射  治療の比較
PRP治療
	
ヒアルロン酸注射
	
参考としてPRP治療とヒアルロン酸注射の効果と安全性を比較した論文を紹介します。論文紹介 - PRP治療とヒアルロン酸注射の比較

Platelet-Rich Plasma Versus Hyaluronic Acid in the Treatment of Knee Osteoarthritis: A Meta-analysis of 26 Randomized Controlled Trials
Jixiang Tan, M.D.a ∙ Hong Chen, M.D.b ∙ Lin Zhao, M.D.a ∙ Wei Huang, M.D. 2021
目的
対象
評価指標
副指標:VAS、IKDC、KOOS、Lequesne、EQ VAS、満足度、有害事象など痛みの改善
	
機能改善
	
6. PRP治療プラン 
ACPシングル・ダブル
ACPシングル学割
1部位 38,500円  (税込) ACP-MAX
1部位 165,000円  (税込) 
当院はArthrex Dubbleシリンジ ®️Arthrex Japan を採用しています。
ACPとACP-MAXの違いはPRPに含まれる血小板の数です。
ACP-MAXは従来の約4.5倍の量の血小板を含んだPRPを調整可能です。これにより、組織修復に必要な成長因子をより多く患部に供給できます。
ACP MAXなどの高用量のPRPを使用した治療はHD-PRP (High Dose Platelet-Rich Plasma) 療法と呼ばれ、特に膝関節や股関節の症状緩和において従来よりも長期の作用が期待できると言われています。
	
		
			 
		
			 
			 
			
			 
		
			 
		特長 
			・採血から投与まで10~15分で処理完了 
			
			・クリーンブース不要 ・ACPダブルシリンジと互換性のある遠心分離機 
		
			・血小板の高度濃縮が可能 
			 
		総血小板供給量 
			約20億(一般的なPRP) 
			 約90億(High-Dose PRP)  
		
			 
	
当院の治療方法 
			複数回注射 
			 単回注射  
		7. 対象疾患・治療対象者 
対象疾患
PRP療法は再生医療のひとつで、人が生まれながらに持っている「自然治癒力」を活かした治療法です。再生医療は、日本国内において、再生医療新法によって厳格に規制・管理されており、①安全性が担保された方法で、②届出が受理された施設、③登録された医師に限り、実施することができ当院も厚生労働省への届け出を行い認可を得ております。
変形性膝関節症への治療以外にも下記のような疾患が対象となります。
	
		
			 
	
	
		認可区分 
			適応・対応する疾患 
			例えば 
		
			 
		第二種 
			変形性関節症 
			
			関節軟骨損傷
			関節内靭帯損傷
変形性膝関節症  
		
			半月板損傷
			 
	
第三種 
			筋損傷 
			
			腱付着部障害
			腱障害
			関節外靭帯損傷
肉離れ  
		
			外側上顆炎(テニス肘) 
			内側上顆炎(ゴルフ肘) 
			足底腱膜炎 
			足関節外側靭帯損傷 
治療対象者
	
		
			 
	
	
		対象者 
		
			 
	
・外来通院可能な方 
		
			・本治療について文書による同意をされた方(未成年の場合は代諾者の同意が必要)
			・全身的な健康状態が良好である方
	
		
			 
	
	
		治療を受けられない方 
		
			 
	
・抗凝固剤の使用中の方 
		
			・血小板減少症等出血性素因がある方
			・貧血の方
			・重篤な感染症
			・易感染性宿主(糖尿病・免疫不全・慢性腎不全・肝硬変の方)8. 当法人のPRP治療の 実績 
またプロスポーツチームのチームドクターを行っている医師を配置しているためスポーツに対する専門性も高く、一般の方からプロ選手までバックグラウンドを考慮したオーダーメイドの治療を提供します。
1000件を超える実施経験からより効果的な方法の提案を行います。
9. スポーツ整形外科 “だからできる”  治療提案をすべての方へ
また、なるべく“運動しながら治す”、“最速で除痛する”ことを掲げています。
この経験はスポーツ選手だけでなくすべての患者さんに適応させて行きます。治療前、治療後の徹底したフォロー体制
より結果を追い求めるための画像診断
当院では治療にあたりMRIや超音波診断装置を用いて痛みのある部位の確認を行います。
組織の傷んでいる程度や部位、患部の大きさ、患部の深度より正確に検査することで的確な治療を行います。徹底した安全性の確保
10. PRP治療の 実例 
20代女性海外プロサッカーリーグの選手の例
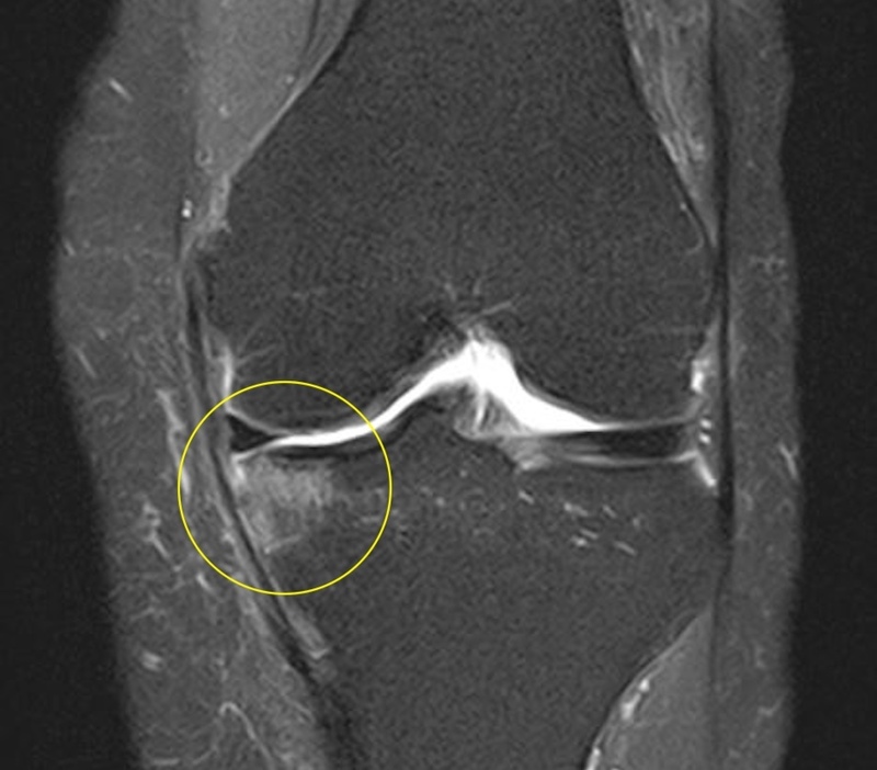
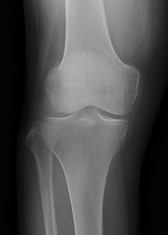
練習を一定期間休むとはれはなくなるが運動量をあげると腫れが出現してしまい試合出場が困難な状態となり治療のため帰国した。XP画像
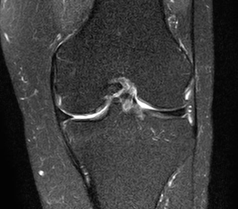
MRI検査
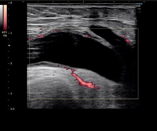
超音波検査
PRP治療
目的:膝の炎症症状の改善と組織修復リハビリテーション
結果
サッカーを行なっても腫れが出現しなくなり無事試合に復帰した。11.痛みの原因は1つではない
豊富な知識と治療のオプションが可能にする コンビネーション治療 
コンビネーション治療の実例 - 50代女性の例
最近では歩行時にも痛みが出てしまい脚をかばって歩くようになってきてしまった。
他院でレントゲンの撮影を行い骨には異常がないと診断され、湿布の処方とヒアルロン酸の治療を5回施行するも効果がなく当院に来院した。XP画像
MRI検査
また骨にもダメージがあり骨にも炎症が起きている状態 半月板
 骨挫傷
超音波検査
→膝関節の炎症が起こっていることが明確になった 水腫
 水腫 血流計測 25mm/sec以上が異常
行ったコンビネーション治療
PRP+体外衝撃波治療
膝の関節内にPRP治療を施行
目的:膝の炎症症状の改善と組織修復
膝の骨に対して体外衝撃波治療を施行
目的:骨の炎症症状の改善と組織修復の促進施行後のMRI画像
疼痛消失までの通院回数(その後のリハビリは除く)
	
12. 治療  の流れ
	
①診断
	
②事前評価
	
③採血
	
④遠心分離
	
⑤注射
	
⑥体調チェック
	
13. 治療案内
14.  副反応  について
PPR治療は注射をするため痛みを伴います。
PRP注入後3~4日は治癒機転に伴う炎症症状として痛みや腫れなどを感じる可能性があります。