離断性骨軟骨炎
離断性骨軟骨炎とは?
12~15歳の成長期に発症し、何らかの影響で上腕骨小頭(図1)への栄養を供給している血管の血流障害が起こり、軟骨の一部が分離し、徐々に進行していく障害を離断性骨軟骨炎といわれています。
成長期の子供の軟骨は脆く、野球などの肘を多用するスポーツ障害の一環として発症することが多いです。
例えば、投球フォームによる肘への負担などが原因となります。
(図1 上腕骨小頭)
病期の説明
離断性骨軟骨炎の病期はレントゲンで分けられます。左から透亮期(上腕骨小頭※に不規則な骨の透明化がみられる)
分離期(小頭の硬化像がみられる)、遊離期(遊離体が存在する)に分類されます。
図2離断性骨軟骨炎の病期 三浪らの分類
また、透亮期の中では外側型と中央型というものに分けられます。
分離期では前期型、後期型に分けられ、遊離期では巣内型、巣外型に分けられます。
どんな症状か?
・進行すると肘外側の痛み・肘の関節可動域制限
・遊離体によるひっかかり感
画像・診断
肘関節可動域制限と上腕骨小頭部の圧痛、超音波検査(エコ―)の所見で診断します。また、MRIやCTを使い関節内遊離体の存在、病期の進行度などの確認を行います。
超音波検査(エコー) 正常の画像と比べ、左の図は骨の連続性が欠けています。
MRI 前から見た画像 CT 横から見た画像
囲っている所が骨が破壊されています。 骨の連続性が欠けています。
治療
初期・進行期・終末期によって手術を行わない保存療法か手術を行うのか治療法が変わってきます。初期(透亮期)、分離期では、投球などの原因となっている運動を禁止することによって骨が修復し、完全に治ることもあります。
場合によっては長期にわたり運動を制限することもあります。
また、保存療法の基本となるのは障害された軟骨の自然修復能力を阻害する因子の除去です。
安静にしていれば、分離した骨は徐々に癒着してきます。
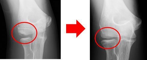
下の画像では、初診時のものでは上腕骨小頭の分離を認めます。
6か月後のレントゲン画像では分離した骨がきれいに治っています。
初診時 6ヶ月後
動かしにくさが著明で、関節内遊離体が存在している場合は手術が行います。
手術方法として、関節内遊離体を摘出します。
軟骨の欠損が大きい場合は、膝から骨と軟骨を柱状に摘出して患部に移植する手術(骨軟骨移植術)が選択します。
手術後は6か月を目安に現場復帰を目指します。
また、6か月経つとレントゲン画像では異常な所見が認められません。移植した軟骨もきれいに治っています。
骨軟骨移植術前 術後6ヶ月
上田整形外科内科では上田地域の野球をしている小中学生を対象に定期的に野球肘検診を行っています。
肘の痛みや不安がありましたら当院を受診してみてはいかがでしょうか?







