腰部脊柱管狭窄症
腰部脊柱管狭窄症とは?
加齢による椎間板の退行性変化が基盤となって、足の神経の通り道である脊柱管や神経根を圧迫した結果発生する疾患です。腰・殿部の痛みもありますが、主症状は下肢のしびれ・疼痛、こまめに休まないと歩くのが大変(間欠性跛行)、足の筋力低下です。重症例では膀胱直腸障害も合併する為、注意が必要です。
症状・経過
最も特徴的なのは、歩行により下肢に出現する、痺れ・痛みです。間欠性跛行と呼ばれ、伸ばしていた腰を座る・腰を曲げる・しゃがむことで、速やかに症状が消失して再び歩けるといった、姿勢により症状が変化することが特徴的です。
| 歩き始めは何ともない | しばらくすると足に痛み・しびれが出現し歩きにくくなる | 座ったりかがむことでまた歩けるようになる |
原因・病態
腰椎には、脊柱管と呼ばれる神経の束が通過し保護する部位があります。椎間板を中心とした腰椎の退行性変化は、ヘルニアや靭帯の肥厚、骨棘増生といった変形をもたらします。
その結果、脊柱管が狭くなり神経を圧迫した状態が腰部脊柱管狭窄症です。
腰には、下肢の神経が存在します。その為、症状は下肢に出現します。
加齢により、椎間板などが変性すると神経を圧迫する様になります。
股関節周囲の柔軟性低下や、腰が反った姿勢は、椎間孔・脊柱管を狭くし、神経根の圧迫が強くなります。
また、神経への血液循環が悪くなります。その為、神経症状が強く出現する原因になります。
| 腰を反ると神経の圧迫が強くなる | 腰を曲げると神経が減少する |
| かがんで休むとまた歩けるのは、姿勢変化で神経が圧迫するためです。 | |
診断
腰部脊柱管狭窄症を疑うポイント
間欠性跛行の有無、下肢の痛み・痺れ、腰がまっすぐ伸びない
これらの症状が特徴的です。
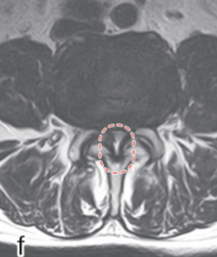
画像所見
レントゲン像 MRI像
![]() |
![]() |
![]() |
![]() |
治療
「姿勢による症状の変化」が治療のポイントです。腰椎が反っていると症状が出現するので、反りにくい身体作りがリハビリの目的です。
股関節の柔軟性改善が必須です‼
![]() |
![]() |
![]() |
![]() |
| 踵がお尻に届くか | 足が上がるか | どのくらい開くか | 足が浮かないか |
リハビリでは徹底的にストレッチを行い、自宅でも毎日行います。 薬物療法として、痛みに対して消炎鎮痛薬、神経への血流を改善する薬、
傷ついた神経の興奮を抑える薬、を用いる事も効果的です。
色々な種類があるので、「相性のいい薬」を探します。
仙骨ブロック注射
![]() |
| 神経の通り道に麻酔薬を注射する事で、痛みを抑えます。 外来で安全に実施するには仙骨ブロックが効果的です。 より高度なブロック注射が必要な場合は、 ペインクリニックへ紹介させて頂きます。 |


















