症例
年齢:66歳性別:女性
診断名:右肩石灰性腱炎
痛みの経過
2020年12月 明らかなきっかけがなく、徐々に右肩関節痛出現しました。2021年3月 症状が変わらないため当院受診されました。
主訴:手を後ろに回すと肩の前が痛い
画像検査

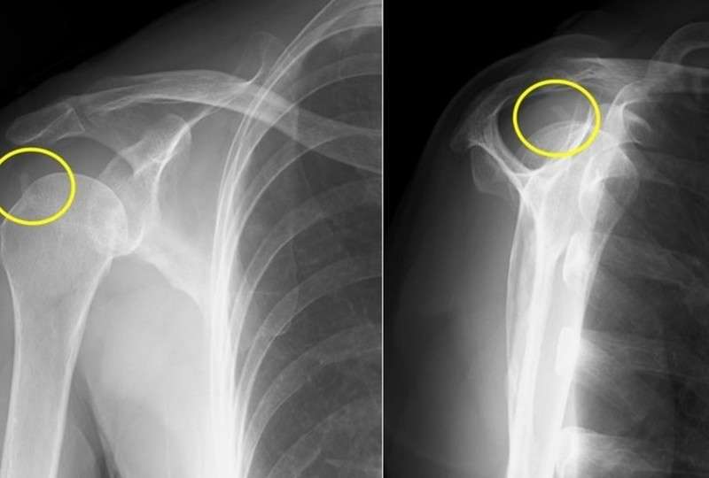
レントゲン検査
黄色い丸で囲んだ部分もみると石灰が見えます。

超音波検査
赤い丸で囲んだ部分の筋膜が厚くなって見えます。(他の部位よりも白い線が太い)
治療

肩関節の後ろの筋肉の動きを超音波で確認できました。
骨と筋肉との動きが悪く、固くなっているように見えます。
この動きが悪くなっている部分に生理食塩水を注射で注入し、動きを良くするように治療介入を行いました(Hydro-release)。

治療経過
手を後ろに回す動作で痛みの程度としては0から10までの11段階で痛みを表し、初診時は7でお尻を触れるのがやっとでした。リハビリ開始3ヶ月経過し、骨盤の上まで触れることができ、痛みの程度は5まで軽減しました。
Hydro-releaseを行なったことにより背中が触れるようになり痛みの程度2まで改善しました。
さらなる改善を目標にリハビリ継続しています。
