症例紹介
性別:女性年齢:39歳
職業:デザイン関係
主訴:前かがみになる時に腰が痛い。顔が洗えない。怖くて動けない。
来院までの経過
9年位前より、特に原因はわからないが腰部痛がありましたが、我慢出来る範囲の痛みでしたあり、様子を見ながら生活をしていました。出産後、何度かぎっくり腰にもなり、さらに2~3年前から朝起きた時の痛みが強くなり、着替え動作で強い痛みが出現するようになりました。
近隣の整形外科を受診した時には、「痛みを取るには注射しかない。」と診察を受けました。しかし、注射や手術はしたくないと思い、自分で方法を調べてストレッチを実施していました。
なかなか症状が改善しないので、きちんと診てもらいたいと思いネットで調べて当院を受診されました。
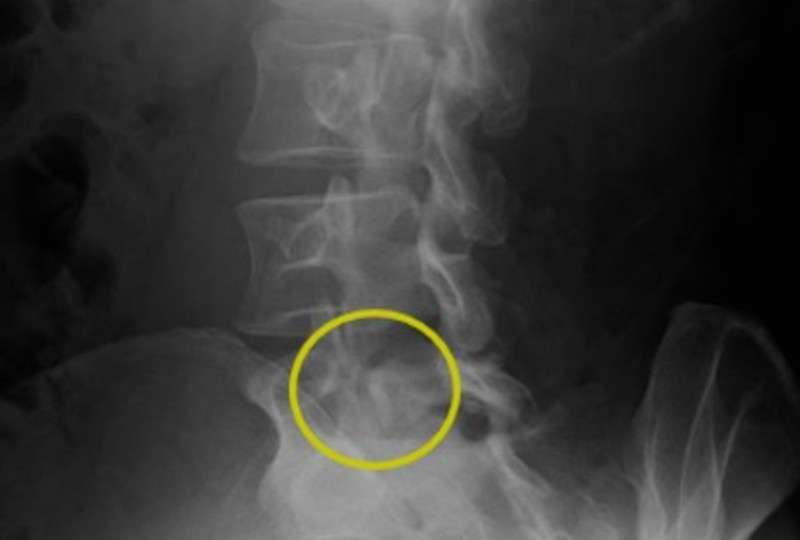
画像所見

画像上の黄色の丸の中に骨の亀裂が確認できます。
また腰の反りが強い印象も見受けられます。
治療介入
初診時は腰の痛みが強く、ほとんどかがめない状態でした。また出産後の腹部の筋力低下も追い打ちをかけている状態で、お腹にも力が入らない様子でした。
リハビリ通院は2週に1回とし、自宅で身体を丸めるストレッチ(写真)や、お腹を凹ませる運動を行ってもらうことにしました。

介入後の経過
リハビリ実施後にはかがめるようになりましたが、日にちが経つと元のようにかがめない状態になってしまいました。2ヶ月ほど過ぎた頃から、患者さんも「少し丸まれるようになってきた」と実感されてきました。
リハビリ通院のたびに近況を伺い、やりにくい運動は方法を変えたり、状況に応じたメニューを提示し、自宅でも頑張っていただきました。
転帰
朝起きる前に布団の中で丸まる習慣がつき、着替えや洗顔もスムーズに行えるようになりました。仕事が忙しい時などは痛みが出ることがありますが、ご自分でストレッチなどを行い、悪化させる前に対処できるようになりました。セルフケアの自信がつき、リハビリ通院終了しました。
この記事を書いたスタッフ

理学療法士
鈴木 樹里
鈴木 樹里
日々生活している中で、突然関節の痛みに悩まされたり、思いがけない不調が出たりすることがあります。
「こんなことで整形外科に行ってもいいのかな?」
「妊娠中、授乳中、子供連れだけど行っていいかな?」
「こんなことで整形外科に行ってもいいのかな?」
「妊娠中、授乳中、子供連れだけど行っていいかな?」