肩の筋肉・スジが切れた時の症状と治療「腱板断裂」
肩の構造、肩の筋(スジ)、腱板とは?
『腱板』とは肩関節を動かす大きな鍵となる4つの筋肉の総称です。
肩関節は、球関節という種類の関節に分類されます。髪を洗う、背中に手を回す、大きく手を振るなど、他の関節に比べると自由度の高い運動が可能です。しかし、動きが大きい分、不安定な関節ともいえます。肩関節は関節包や靭帯によって支持されているだけではなく、腱板が支えることにより関節を安定化させ、また大きな動きを可能にしています。
腱板断裂(腱板損傷)の原因とは?
腱板断裂は、40歳以上の男性、特に60歳代に好発します。これは、40歳以降から腱の変性が始まるためだと考えられています。さらに、腱板は解剖学的に上腕骨頭と肩峰の間に位置しているため、腕を挙げると腱板が挟み込まれる状態になります。日常生活で腕を使い続ける中で自然と断裂が起きてしまいます。また、交通事故や転倒、スポーツでのコンタクトプレーのように「外傷」が原因となるものや、野球など肩を使う頻度が多いスポーツをされている方にも生じることがあります。
腱板断裂(腱板損傷)の症状について
・痛くて自力で手が挙がらない。・夜、痛くて目が覚める。
・服を着たり、脱いだりするのが痛い。
・髪をとく時に痛い。
・洗濯物を干す時に痛い。
・ベルトを通す時に痛い。
・ボールを投げる時に痛い。など
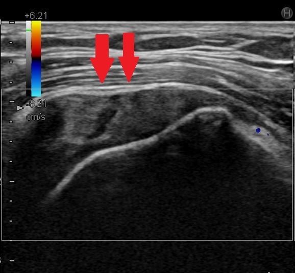
画像・診断について
診断は診察所見と単純レントゲン検査、超音波検査やMRI検査の画像所見から行います。
例)
超音波画像( 赤矢印 に陥凹があり断裂を疑う)

MRI画像1( 赤丸 に断裂が見られます)
MRI画像2
長野整形で行う腱板断裂の治療
腱板断裂の治療法としては、保存療法(リハビリ、注射、投薬)と手術療法があります。 多くの場合は保存療法が選択されます。
保存療法で改善が見られない場合は手術療法を検討します。 しかし、肩板断裂の程度や症状の程度、早期職場復帰などの希望がある場合は、最初から手術を検討することもあります。 手術にはリスクも伴いますので担当の医師と相談して慎重に決めます。
※腱板断裂では保存療法、手術療法後にもリハビリテーションが大切となります。
関連リンク
腱板断裂の症例紹介
