肩の脱臼、肩が何度も抜ける「肩関節脱臼、反復性肩関節脱臼」
2019/03/25

肩関節脱臼の原因とは?
肩関節は最も脱臼が多い関節であり、転んで手を着いたり、肩を激しくぶつけた時に発生します。そのためコンタクトスポーツ(サッカー、ラグビーなど)に多いのも特徴です。一般的に手を後ろに伸ばした状態で手をついた時に脱臼することが多いと言われています。脱臼を何度も繰り返すと反復性脱臼へ移行することがあります。反復性脱臼に移行すると、ひどい場合には日常生活や寝返りを打つだけでも脱臼するケースもあります。初回脱臼が20歳以下だと80~90%は反復性肩関節脱臼に移行します。
肩関節脱臼の症状
・強い痛みがあり、轢音がなることがある・肩の緩さ、外れる感覚(脱臼感)
・外転・外旋動作時に不安感
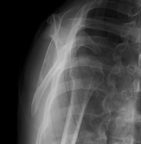
肩関節脱臼の画像検査
診断について
徒手検査や単純レントゲン検査で医師が診断します。軟部組織損傷の有無の確認にはMRI検査、骨の状態確認にはCT検査が有用です。
軟部組織損傷の有無・骨折の有無は、反復性脱臼に大きく影響を及ぼすため、MRI検査やCT検査による精査が必要です。
例)
単純レントゲン画像
正面

上腕骨が前方に脱臼
上腕骨が前方に脱臼
Yビュー
MRI画像
横断像①(AX)

前方関節唇損傷
前方関節唇損傷
横断像②

上腕骨陥没(Hill-Sachs Lesion:HSL)
上腕骨陥没(Hill-Sachs Lesion:HSL)
CT画像
3D-CT(上腕骨のみ)

上腕骨陥没(HSL)
上腕骨陥没(HSL)
3D-CT

関節窩下極にボニーバンカート
(Bony Bankart lesion)
関節窩下極にボニーバンカート
(Bony Bankart lesion)
長野整形で行う肩関節脱臼の治療
まず整復を行い、その位置が固定できるようにバンドや三角巾などで3週間程固定します。急性期は安静を指示し、痛みに対して消炎鎮痛剤を処方します。これらの固定、安静を疎かにしてしまうと反復性脱臼へ移行しやすくなります。肩関節脱臼の治療で大切なのは、反復性脱臼に移行させないことです。つまり、初回脱臼の治療は特に重要です。
急性期が過ぎてからリハビリテーションとして物理療法や運動療法を行います。
反復性脱臼に移行したものは手術適応です。
