野球肘、スポーツ障害としても多い
肘離断性骨軟骨炎の原因とは?
12~15歳の成長期に発症し、関節面の一部が分離を生じ徐々に進行する疾患です。
球技スポーツ(特に野球)をする小学生高学年~中学生に好発し、投球動作の反復による外反ストレスが主な発症原因とされています。
肘離断性骨軟骨炎の症状は?
・肘関節の
外側の痛み、運動時痛、肘関節の可動域制限が生じます。
・遊離期に進行すると関節内遊離体(関節ねずみ:関節内で移動する骨軟骨片)による肘関節の引っ掛かり感やロッキング(自動屈曲・伸展ができなくなる状態)が生じることがあります。
画像・診断について
肘関節可動域制限と上腕骨小頭部の圧痛、単純レントゲン検査の所見などで診断します。
CTは骨軟骨片の性状や関節内遊離体の存在・部位の確認に、MRIは病期の進行度、病巣の不安定性の評価に有用です。
病期の説明
離断性骨軟骨炎の病期は、①透亮期、②分離期、③遊離期(関節ねずみ)に分類されます。
例) レントゲン画像

上腕骨小頭外側に透亮像と周囲の骨硬化像
MRI画像①

黄色矢印部分に高信号があり、
MRI画像②
関節液が侵入しています。
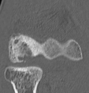
CT画像①

上腕骨小頭に骨欠損
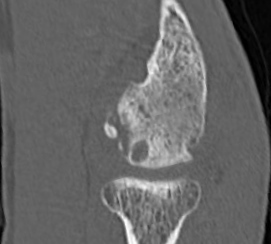
②

上腕骨小頭に遊離体
③

同じく遊離体
肘の離断性骨軟骨炎の治療について
注意してほしいこと
患部の安静が必要です。医師の許可が出るまでは肘に負担のかかる運動は避けてください。
初期(透亮期)では6ヶ月~1年の投球を禁止し、単純レントゲン検査で継時的に評価していきます。
保存療法により単純レントゲン画像上改善がみられない、進行期、軟骨欠損が大きい症例では手術となります。(関節鏡視下病巣切除術、ドリリング、遊離体摘出術、骨釘移植術、自家骨軟骨柱移植術、肋骨肋軟骨移植術など)