サッカーの試合中に急に右太ももの裏に激痛が出現し走れなくなった症例

2022/08/10
#サッカー
理学療法士
金井 陽太郎

症例

・年齢 17才
・性別 男性
・スポーツ サッカー(FW)

診断までの経緯

2021年10月20日 サッカー中に走っていたら右太もものうしろに急に痛みが生じ、プレーを続けることができなくなりました。
10月21日 歩いている時の太もものうしろの痛みがあったため当院を受診されました。
レントゲン検査で異常は認めず、MRI検査をしたところハムストリングスの肉離れ(Ⅱ度)と診断されました。

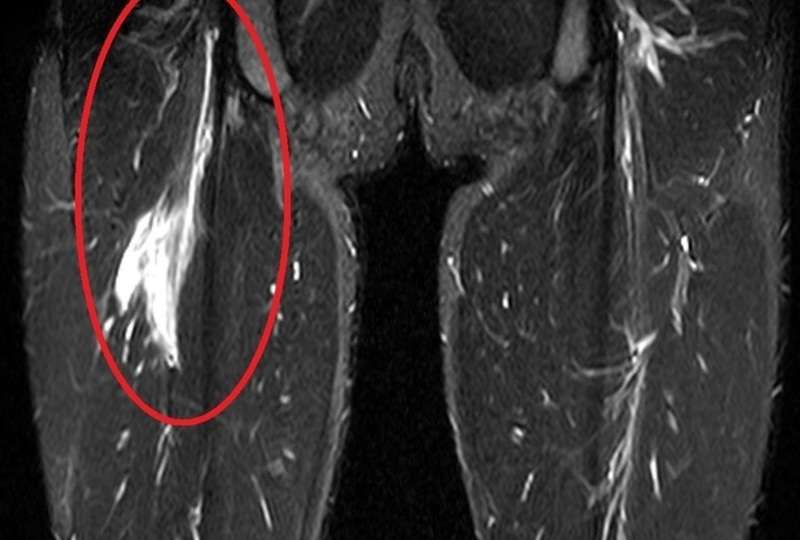
【MRI画像】
赤い丸で囲んである部分の筋肉が損傷し、出血が確認できる(広範囲に白い)

理学所見

ハムストリングスをストレッチしてみると、右は痛みが強く足が30°しか上がりませんでした。(左は60°まで上がります)


痛めた筋肉を保護するためにスーパーラップという患部を圧迫するアイテムを使用します。
初回診察から2週ごとに超音波検査で修復の経過を追っていきます。
受傷から約6週の時点で損傷部位の修復を確認しました。
(この6週間は症状や修復程度を考慮しながらストレッチやトレーニングを実施)

(ハムストリングスのストレッチ)

そこから2週間かけ競技復帰に向けサッカー競技に必要なストップやダッシュ、方向転換のトレーニングなどを実施し、競技復帰しました。
この記事を書いたスタッフ
理学療法士
金井 陽太郎
理学療法士の金井陽太郎です。
姿勢や身体の使い方のくせ(動作)をしっかりと観察・説明をして
納得していただきながらリハビリをしていきたいと思っています。
関連記事

長野整形外科クリニック
ご予約はこちら
LINEで予約 LINE予約のご利用方法

026-256-8822

Web予約

〒 381-0043
長野県長野市吉田5丁目26−23

「北長野駅」より徒歩13分