内転筋の肉離れからスポーツ復帰した患者さん

2022/08/16
#サッカー
理学療法士
金井 陽太郎

症例情報

性別:男性
年齢:16歳
職業:高校生(サッカー部所属)
主訴: ボールを蹴ると太ももの内側に鋭い痛みが出る、走っていても痛い
来院までの経過
受診する1カ月前からボールを蹴ったりすると太ももの内側に痛みがありました。
自然に治ると思い様子をみながらサッカーを続けていましたが、ロングキックの練習をきっかけに悪化してしまい歩くだけでも痛みが出るようになり当院を受診されました。
 
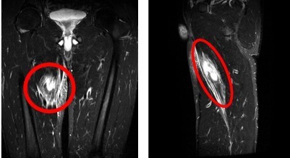
画像所見:MRI検査で内転筋の損傷を確認しました。(で囲んだ部分)

正面から見た場合)      (横から見た場合)
診断:『内転筋の肉離れ(Ⅱ度)』  スポーツ復帰目安(6週~8週間)

治療介入

歩くだけでも痛みが強いため、歩いても痛みが出なくなるまで松葉杖を使用し、患部の保護のために患部を圧迫するスーパーラップを使用します。まずは傷んでいる筋肉の保護を優先にします。
介入後の経過
受診から10日ほどで松葉杖がとれました。2週間ごとにエコーを使って傷めた内転筋の修復状態を確認してきます。
ストレッチができるようになったら、丁寧にストレッチをしていきます。エコーで修復具合や痛みの有無を確認しながら筋力トレーニングも行います。
サッカーにおける内転筋の肉離れは非常に多く、上半身・股関節の柔軟性の不足やキックフォームの不良による場合が多いです。
筋肉の修復を待ちながら、どうして内転筋に負担が集中してしまったか?を調べ、再発予防のためにリハビリしていきます。
転帰
受診から8週間経過し、傷めた筋肉もほぼ修復したことをエコーで確認し、復帰に向けて、実践に部分的に混ざりながら復帰しました。
 
この記事を書いたスタッフ
理学療法士
金井 陽太郎
理学療法士の金井陽太郎です。
姿勢や身体の使い方のくせ(動作)をしっかりと観察・説明をして
納得していただきながらリハビリをしていきたいと思っています。
関連記事

長野整形外科クリニック
ご予約はこちら
LINEで予約 LINE予約のご利用方法

026-256-8822

Web予約

〒 381-0043
長野県長野市吉田5丁目26−23

「北長野駅」より徒歩13分