ジャンプをすると膝の前側が痛い「膝蓋腱炎(ジャンパーズ・ニー)」

2019/09/17
#膝関節

膝蓋腱とは?

 膝蓋腱とは、膝蓋骨(膝のお皿)から脛骨(すね)につながる腱です。膝を伸ばす時、太ももの強靭な筋肉群である「大腿四頭筋」が収縮し、膝蓋腱を介し脛骨を持ち上げます。ランニングやジャンプ時の衝撃を吸収する機能も果たします。

痛みが出る原因は?

 バスケットボールやバレーボールなどジャンプを頻回に、かつ長時間行うスポーツでは、強いストレス(大腿四頭筋が引っ張られることで加わる牽引力)が繰り返し膝にかかり、膝蓋腱に微小な損傷を起こし痛みの原因となります。大腿四頭筋の柔軟性低下も原因のひとつです。
 ジャンプを多くするスポーツ選手がなりやすい事から、ジャンパー膝(ジャンパーズ・ニー)とも呼ばれています。“使い過ぎ“によりおこる痛みの一種です。

膝蓋腱炎の症状について

・膝の前方の痛み
・ジャンプすると痛い
・スクワットすると痛い
・歩くと痛い
・膝を曲げると痛い
・押すと痛い

画像・診断

触診で患部圧痛の有無、大腿四頭筋の硬さを評価します。超音波検査、MRI検査で診断します。

例)
US長軸像

健側( )より、患側( )の膝蓋腱が肥厚しています。

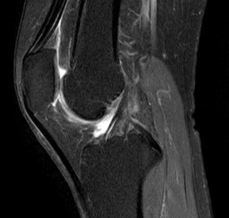
MRI画像
正常
膝蓋腱炎
膝蓋腱周囲(黄色矢印)に信号変化があり、炎症が見られます。
膝蓋腱実質(赤矢印)まで信号変化があり、膝蓋腱の損傷が疑われます。

膝蓋腱炎の治療について

 負担を軽減するためにジャンプ、ダッシュなど運動を制限します。また症状の程度によりますが、患部の炎症を抑えるため消炎鎮痛剤や外用を使用します。リハビリテーションで、テーピングで負荷の軽減を、膝の屈曲伸展に関わる大腿四頭筋・ハムストリングスの柔軟性改善を目指します。
 痛みが強い、長期化した難治性の場合には注射治療や、体外衝撃波治療を検討します。
 
関連記事

長野整形外科クリニック
ご予約はこちら
LINEで予約 LINE予約のご利用方法

026-256-8822

Web予約

〒 381-0043
長野県長野市吉田5丁目26−23

「北長野駅」より徒歩13分